
Anti-ASAH3L Rabbit pAb
¥1650
货号:YB113350-100
品牌:YIKE
规格:
- 100 μL
数量:
产品信息
|
蛋白质全称 |
碱性神经酰胺酶2 |
|
别名 |
Alkaline CDase 2, maCER2, AlkCDase 2, Acylsphingosine deacylase 3-like, CRG-L1, Acer2, Asah3l, N-acylsphingosine amidohydrolase 3-like |
|
Uniprot ID |
Q8VD53 |
|
免疫原 |
KLH偶联的小鼠ASAH3L合成肽 |
|
抗体亚型 |
IgG |
|
纯化方式 |
亲和纯化 |
|
亚细胞定位 |
高尔基体 |
应用
| 应用 | 物种 | 稀释 | 阳性样品 |
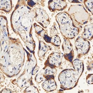
| IHC/IF 免疫组织化学/免疫荧光 | 人 | 1: 200-1: 400 | 胎盘 |
背景
The sphingolipid metabolite sphingosine-1-phosphate promotes cell proliferation and survival, whereas its precursor, sphingosine, has the opposite effect. The ceramidase ACER2 hydrolyzes very long chain ceramides to generate sphingosine.
图像
|
|
IHC检测ASAH3L蛋白(货号 GB113339). 样品: 人胎盘, 4%多聚甲醛 (货号G1101) 固定12-24小时. 抗原修复: 柠檬酸抗原修复液(干粉, pH 6.0) (G1201), 98℃, 20分钟. —抗: 1: 200稀释, 4℃ 孵育过夜. 二抗: HRP标记山羊抗兔IgG (H+L) (货号GB23303), 1: 200稀释, 室温孵育1小时. |
储存
| 储存条件 | 在-20℃下储存一年, 避免反复冻融. |
| 储存缓冲液 | 含0.15% ProClin300防腐剂, 100 μg/mL牛血清白蛋白和50%甘油的磷酸盐缓冲液. |
注意:
1.本产品仅供研究使用.
2.建议用一抗稀释液(G2025)稀释本产品.
服务推荐
| 货号 | 名称 | 规格 | 价格 | 操作 |
|---|
产品推荐
| 货号 | 名称 | 规格 | 价格 | 操作 |
|---|
