
Anti-LPCAT1 Rabbit pAb
- 100 μL
产品信息
|
蛋白质全称 |
溶血磷脂酰胆碱酰基转移酶1 |
|
别名 |
Acyltransferase like 2, AYTL2, LPC acyltransferase 1, lpcat, LPCAT 1, LPCAT1, Lyso PAF acetyltransferase, LysoPAFAT, LysoPC acyltransferase 1, PFAAP3 |
|
Uniprot ID |
Q3TFD2 |
|
免疫原 |
小鼠LPCAT1重组蛋白 |
|
抗体亚型 |
IgG |
|
纯化方式 |
亲和纯化 |
|
亚细胞定位 |
细胞膜, 内质网, 高尔基体 |
应用
| 应用 | 物种 | 稀释 | 阳性样品 |
| IHC/IF 免疫组织化学/免疫荧光 | 小鼠 | 1: 2000-1: 4000 | 肺 |
背景
LPCAT1, also named as AYTL2, PFAAP3 and LysoPAFAT, belongs to the 1-acyl-sn-glycerol-3-phosphate acyltransferase family. It is a key enzyme for remodeling phospholipids, including phosphatidylcholine. The expression level of LPCAT1 is able to differentiate prostate cancer from noncancerous prostatic changes, and correlates to the tumor grade of prostate cancer. LPCAT1 possesses both acyltransferase and acetyltransferase activities. It mediates the conversion of 1-acyl-sn-glycero-3-phosphocholine (LPC) into phosphatidylcholine (PC).
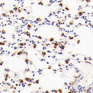
图像
|
|
IHC检测LPCAT1蛋白(货号 GB113528). 样品: 小鼠肺, 4%多聚甲醛 (货号G1101) 固定12-24小时. 抗原修复: 柠檬酸抗原修复液(干粉, pH 6.0) (G1201), 98℃, 20分钟. —抗: 1: 2000稀释, 4℃ 孵育过夜. 二抗: HRP标记山羊抗兔IgG (H+L) (货号GB23303), 1: 200稀释, 室温孵育1小时. |
储存
| 储存条件 | 在-20℃下储存一年, 避免反复冻融. |
| 储存缓冲液 | 含0.15% ProClin300防腐剂, 100 μg/mL牛血清白蛋白和50%甘油的磷酸盐缓冲液. |
注意:
1.本产品仅供研究使用.
2.建议用一抗稀释液(G2025)稀释本产品.
| 货号 | 名称 | 规格 | 价格 | 操作 |
|---|
| 货号 | 名称 | 规格 | 价格 | 操作 |
|---|
