
Anti-CYP2A7 Rabbit pAb
¥1650
货号:YB114273-100
品牌:YIKE
规格:
- 100 μL
数量:
产品信息
|
蛋白质全称 |
细胞色素P450 2A7 |
|
别名 |
CYP2A |
|
Uniprot ID |
P20853 |
|
免疫原 |
人CYP2A7重组蛋白 |
|
抗体亚型 |
IgG |
|
预测分子量./观测分子量. |
56 kDa / 50 kDa |
|
纯化方式 |
亲和纯化 |
|
亚细胞定位 |
内质网, 膜, 微粒体 |
应用
| 应用 | 物种 | 稀释 | 阳性样品 |
| WB 免疫印迹 | 小鼠, 大鼠 | 1: 3000-1: 5000 | 肝, 肝 |
| IHC/IF 免疫组织化学/免疫荧光 | 人 | 1: 2000-1: 4000 | 肝 |
背景
Cytochromes P450 are a group of heme-thiolate monooxygenases. In liver microsomes, this enzyme is involved in an NADPH-dependent electron transport pathway. It oxidizes a variety of structurally unrelated compounds, including steroids, fatty acids, and xenobiotics.
图像
|
|
WB检测CYP2A7蛋白(货号 GB114262). 样品: 经RIPA裂解液(货号G2002)处理的蛋白质. 封闭: 3%脱脂牛奶(货号GC310001)溶于TBST溶液, 室温孵育1小时. —抗: 1: 3000稀释, 4℃ 孵育过夜. 二抗: HRP标记山羊抗兔IgG (H+L) (货号GB23303), 1: 5000稀释, 室温孵育1小时. |
|
|
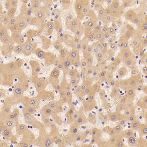
IHC检测CYP2A7蛋白(货号 GB114262). 样品: 人肝, 4%多聚甲醛 (货号G1101) 固定12-24小时. 抗原修复: 柠檬酸抗原修复液(干粉, pH 6.0) (G1201), 98℃, 20分钟. —抗: 1: 2000稀释, 4℃ 孵育过夜. 二抗: HRP标记山羊抗兔IgG (H+L) (货号GB23303), 1: 200稀释, 室温孵育1小时. |
储存
| 储存条件 | 在-20℃下储存一年, 避免反复冻融. |
| 储存缓冲液 | 含0.15% ProClin300防腐剂, 100 μg/mL牛血清白蛋白和50%甘油的磷酸盐缓冲液. |
注意:
1.本产品仅供研究使用.
2.建议用一抗稀释液(G2025)稀释本产品.
服务推荐
| 货号 | 名称 | 规格 | 价格 | 操作 |
|---|
产品推荐
| 货号 | 名称 | 规格 | 价格 | 操作 |
|---|

