
Anti-Pancreatic Lipase/PTL Rabbit pAb
- 50 μL
产品信息
|
蛋白质全称 |
胰甘油三酯脂肪酶 |
|
别名 |
Lipase, Pancreatic Lipase, PL, PNLIP, PTL |
|
Uniprot ID |
Q6P8U6 |
|
免疫原 |
KLH偶联的小鼠Pancreatic Lipase/PTL合成肽 |
|
抗体亚型 |
IgG |
|
预测分子量./观测分子量. |
51 kDa / 51 kDa |
|
纯化方式 |
亲和纯化 |
|
亚细胞定位 |
分泌型 |
应用
| 应用 | 物种 | 稀释 | 阳性样品 |
| WB 免疫印迹 | 小鼠, 大鼠 | 1: 1000-1: 3000 | 胰腺, 小肠 |
| IHC/IF 免疫组织化学/免疫荧光 | 小鼠, 大鼠 | 1: 200-1: 400 | 胰腺 |
背景
The pancreatic triacylglycerol lipase precursor (PNLIP), a 56 kDa protein secreted by the pancreas that is essential for the hydrolysis and absorption of long-chain triglyceride fatty acids in the intestine is located ?1 Mb upstream from the chromosome 10 peak. It is also named as PL, PTL and belongs to the AB hydrolase superfamily. It may potentially be involved in the pathophysiology of traumatic brain injury and may be implicated in the proliferation of astrocytes and the recovery of neurological outcomes. The full length protein has a signal peptide with 16 amino acid and a glycosylation site.
图像
|
|
WB检测Pancreatic Lipase/PTL蛋白(货号 GB113783). 样品: 经RIPA裂解液(货号G2002)处理的蛋白质. 封闭: 3%脱脂牛奶(货号GC310001)溶于TBST溶液, 室温孵育1小时. —抗: 1: 1000稀释, 4℃ 孵育过夜. 二抗: HRP标记山羊抗兔IgG (H+L) (货号GB23303), 1: 5000稀释, 室温孵育1小时. |
|
|
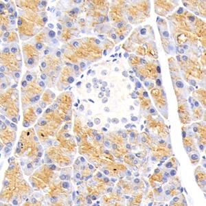
IHC检测Pancreatic Lipase/PTL蛋白(货号 GB113783). 样品: 小鼠胰腺, 4%多聚甲醛 (货号G1101) 固定12-24小时. 抗原修复: 柠檬酸抗原修复液(干粉, pH 6.0) (G1201), 98℃, 20分钟. —抗: 1: 200稀释, 4℃ 孵育过夜. 二抗: HRP标记山羊抗兔IgG (H+L) (货号GB23303), 1: 200稀释, 室温孵育1小时. |
|
|
IHC检测Pancreatic Lipase/PTL蛋白(货号 GB113783). 样品: 大鼠胰腺, 4%多聚甲醛 (货号G1101) 固定12-24小时. 抗原修复: 柠檬酸抗原修复液(干粉, pH 6.0) (G1201), 98℃, 20分钟. —抗: 1: 200稀释, 4℃ 孵育过夜. 二抗: HRP标记山羊抗兔IgG (H+L) (货号GB23303), 1: 200稀释, 室温孵育1小时. |
储存
| 储存条件 | 在-20℃下储存一年, 避免反复冻融. |
| 储存缓冲液 | 含0.15% ProClin300防腐剂, 100 μg/mL牛血清白蛋白和50%甘油的磷酸盐缓冲液. |
注意:
1.本产品仅供研究使用.
2.建议用一抗稀释液(G2025)稀释本产品.
| 货号 | 名称 | 规格 | 价格 | 操作 |
|---|
| 货号 | 名称 | 规格 | 价格 | 操作 |
|---|


