
Anti-CTRP12 Rabbit pAb
- 50 μL
产品信息
|
蛋白质全称 |
脂联素 |
|
别名 |
Adipose derived insulin sensitizing factor, C1q domain containing 2, C1q/TNF related protein 12, C1QDC2, C1QTNF12, Fam132a, Protein FAM132A |
|
Uniprot ID |
Q8R2Z0 |
|
免疫原 |
KLH偶联的小鼠CTRP12合成肽 |
|
抗体亚型 |
IgG |
|
预测分子量./观测分子量. |
33 kDa / 33 kDa |
|
纯化方式 |
亲和纯化 |
|
亚细胞定位 |
分泌型 |
应用
| 应用 | 物种 | 稀释 | 阳性样品 |
| WB 免疫印迹 | 小鼠, 大鼠 | 1: 300-1: 500 | 脂肪组织 |
| IHC/IF 免疫组织化学/免疫荧光 | 人, 小鼠, 大鼠 | 1: 500-1: 1500 | 结肠癌, 睾丸, 食道 |
| ICC/IF 免疫细胞化学/免疫荧光 | 小鼠 | 1: 100-1: 400 | NIH 3T3细胞 |
背景
Insulin-sensitizing adipocyte-secreted protein (adipokine) that regulates glucose metabolism in liver and adipose tissue. Promotes glucose uptake in adipocytes and suppresses de novo glucose production in hepatocytes via the PI3K-Akt signaling pathway. Administration lead to reduction of blood glucose. Able to attenuate inflammation in fat tissue.; [Adipolin fC1QTNF12]: Acts by activating the Akt signaling in hepatocytes and adipocytes. Not able to increase insulin-stimulated glucose uptake in adipocytes.; [Adipolin gC1QTNF12]: Acts by activating the MAP kinase. Increases insulin-stimulated glucose uptake in adipocytes.
图像
|
|
WB检测CTRP12蛋白(货号 GB114882). 样品: 经RIPA裂解液(货号G2002)处理的蛋白质. 封闭: 3%脱脂牛奶(货号GC310001)溶于TBST溶液, 室温孵育1小时. —抗: 1: 300稀释, 4℃ 孵育过夜. 二抗: HRP标记山羊抗兔IgG (H+L) (货号GB23303), 1: 5000稀释, 室温孵育1小时. |
|
|
IHC检测CTRP12蛋白(货号 GB114882). 样品: 大鼠睾丸, 4%多聚甲醛 (货号G1101) 固定12-24小时. 抗原修复: Tris-EDTA抗原修复液 (pH 9.0) (G1203), 98℃, 20分钟. —抗: 1: 600稀释, 4℃ 孵育过夜. 二抗: HRP标记山羊抗兔IgG (H+L) (货号GB23303), 1: 200稀释, 室温孵育1小时. |
|
|
IHC检测CTRP12蛋白(货号 GB114882). 样品: 小鼠睾丸, 4%多聚甲醛 (货号G1101) 固定12-24小时. 抗原修复: Tris-EDTA抗原修复液 (pH 9.0) (G1203), 98℃, 20分钟. —抗: 1: 600稀释, 4℃ 孵育过夜. 二抗: HRP标记山羊抗兔IgG (H+L) (货号GB23303), 1: 200稀释, 室温孵育1小时. |
|
|
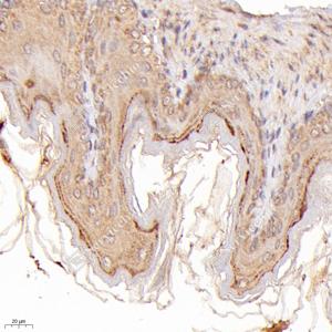
IHC检测CTRP12蛋白(货号 GB114882). 样品: 小鼠食管, 4%多聚甲醛 (货号G1101) 固定12-24小时. 抗原修复: Tris-EDTA抗原修复液 (pH 9.0) (G1203), 98℃, 20分钟. —抗: 1: 600稀释, 4℃ 孵育过夜. 二抗: HRP标记山羊抗兔IgG (H+L) (货号GB23303), 1: 200稀释, 室温孵育1小时. |
|
|
IHC检测CTRP12蛋白(货号 GB114882). 样品: 人结肠癌, 4%多聚甲醛 (货号G1101) 固定12-24小时. 抗原修复: Tris-EDTA抗原修复液 (pH 9.0) (G1203), 98℃, 20分钟. —抗: 1: 600稀释, 4℃ 孵育过夜. 二抗: HRP标记山羊抗兔IgG (H+L) (货号GB23303), 1: 200稀释, 室温孵育1小时. |
|
|
ICC检测CTRP12蛋白(货号 GB114882)(红色). 样品: NIH-3T3细胞, 4%多聚甲醛 (货号G1101) 固定20分钟. 封闭: 3% BSA(货号GC305010)的PBS溶液, 室温孵育30分钟. —抗: 1: 150稀释, 4℃ 孵育过夜. 二抗: Cy3标记山羊抗兔IgG (H+L) (货号GB21303), 1: 300稀释, 室温孵育1小时. |
储存
| 储存条件 | 在-20℃下储存一年, 避免反复冻融. |
| 储存缓冲液 | 含0.15% ProClin300防腐剂, 100 μg/mL牛血清白蛋白和50%甘油的磷酸盐缓冲液. |
注意:
1.本产品仅供研究使用.
2.建议用一抗稀释液(G2025)稀释本产品.
| 货号 | 名称 | 规格 | 价格 | 操作 |
|---|
| 货号 | 名称 | 规格 | 价格 | 操作 |
|---|





