
Anti-DCI Rabbit pAb
- 50 μL
产品信息
|
蛋白质全称 |
线粒体烯酰辅酶Aδ异构酶1 |
|
别名 |
3,2-trans-enoyl-CoA isomerase, D3,D2-enoyl-CoA isomerase, Dodecenoyl-CoA isomerase, DCI, ECI1 |
|
Uniprot ID |
P42125 |
|
免疫原 |
KLH偶联的小鼠DCI合成肽 |
|
抗体亚型 |
IgG |
|
预测分子量./观测分子量. |
32 kDa / 32 kDa |
|
纯化方式 |
亲和纯化 |
|
亚细胞定位 |
线粒体 |
应用
| 应用 | 物种 | 稀释 | 阳性样品 |
| WB 免疫印迹 | 小鼠, 大鼠 | 1: 800-1: 1600 | 肾, 睾丸, 脑 |
| IHC/IF 免疫组织化学/免疫荧光 | 人 | 1: 1800-1: 3600 | 肾 |
| ICC/IF 免疫细胞化学/免疫荧光 | 小鼠 | 1: 50-1: 100 | NIH 3T3细胞 |
背景
ECI1(enoyl-CoA delta isomerase 1, mitochondrial) is also named as DCI(dodecenoyl-CoA isomerase) and belongs to the enoyl-CoA hydratase/isomerase family. It is able to isomerize both 3-cis and 3-trans double bonds into the 2-trans form in a range of enoyl-CoA species. The full length protein has a transit peptide and 2 isoforms produced by alternative splicing and can exsit as a homotramer.
图像
|
|
WB检测DCI蛋白(货号 GB113086). 样品: 经RIPA裂解液(货号G2002)处理的蛋白质. 封闭: 3%脱脂牛奶(货号GC310001)溶于TBST溶液, 室温孵育1小时. —抗: 1: 1600稀释, 4℃ 孵育过夜. 二抗: HRP标记山羊抗兔IgG (H+L) (货号GB23303), 1: 5000稀释, 室温孵育1小时. |
|
|
WB检测DCI蛋白(货号 GB113086). 样品: 经RIPA裂解液(货号G2002)处理的蛋白质. 封闭: 3%脱脂牛奶(货号GC310001)溶于TBST溶液, 室温孵育1小时. —抗: 1: 1600稀释, 4℃ 孵育过夜. 二抗: HRP标记山羊抗兔IgG (H+L) (货号GB23303), 1: 5000稀释, 室温孵育1小时. |
|
|
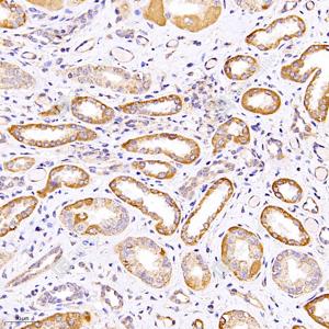
IHC检测DCI蛋白(货号 GB113086). 样品: 人肾, 4%多聚甲醛 (货号G1101) 固定12-24小时. 抗原修复: 柠檬酸抗原修复液(干粉, pH 6.0) (G1201), 98℃, 20分钟. —抗: 1: 3600稀释, 4℃ 孵育过夜. 二抗: HRP标记山羊抗兔IgG (H+L) (货号GB23303), 1: 200稀释, 室温孵育1小时. |
|
|
ICC检测DCI蛋白(货号 GB113086)(绿色). 样品: NIH-3T3细胞, 4%多聚甲醛 (货号G1101) 固定20分钟. 封闭: 3% BSA(货号GC305010)的PBS溶液, 室温孵育30分钟. 一抗: 1: 50稀释, 4℃ 孵育过夜. 二抗: Alexa Fluor 488标记山羊抗兔IgG (H+L) (货号GB25303), 1: 400稀释, 室温孵育1小时. |
储存
| 储存条件 | 在-20℃下储存一年, 避免反复冻融. |
| 储存缓冲液 | 含0.15% ProClin300防腐剂, 100 μg/mL牛血清白蛋白和50%甘油的磷酸盐缓冲液. |
注意:
1.本产品仅供研究使用.
2.建议用一抗稀释液(G2025)稀释本产品.
| 货号 | 名称 | 规格 | 价格 | 操作 |
|---|
| 货号 | 名称 | 规格 | 价格 | 操作 |
|---|



