
Anti-ARSK Rabbit pAb
¥1650
货号:YB111611-100
品牌:YIKE
规格:
- 100 μL
数量:
产品信息
蛋白质全称 | 芳基硫酸酯酶K |
别名 | ASK, Arsk, arylsulfatase family member K, Arylsulfatase K, DKFZp313G1735, Telethon sulfatase, TSULF |
Uniprot ID | Q9D2L1 |
免疫原 | KLH偶联的小鼠ARSK合成肽 |
抗体亚型 | IgG |
纯化方式 | 亲和纯化 |
亚细胞定位 | 分泌型 |
应用
| 应用 | 物种 | 稀释 | 阳性样品 |
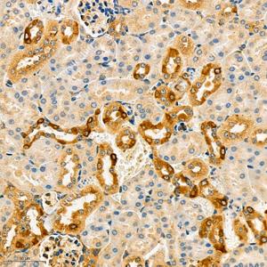
| IHC/IF 免疫组织化学/免疫荧光 | 小鼠 | 1: 1000-1: 4000 | 肾 |
背景
Belongs to the sulfatase family. Sulfatases such as ARSK, hydrolyze sulfate esters from sulfated steroids,carbohydrates, proteoglycans, and glycolipids. They are involved in hormone biosynthesis, modulation of cell signaling, and degradation of macromolecules.
图像
| IHC检测ARSK蛋白(货号 GB111600). 样品: 小鼠肾, 4%多聚甲醛 (货号G1101) 固定12-24小时. 抗原修复: 柠檬酸抗原修复液(干粉, pH 6.0) (G1201), 98℃, 20分钟. —抗: 1: 2000稀释, 4℃ 孵育过夜. 二抗: HRP标记山羊抗兔IgG (H+L) (货号GB23303), 1: 200稀释, 室温孵育1小时. |
储存
| 储存条件 | 在-20℃下储存一年, 避免反复冻融. |
| 储存缓冲液 | 含0.15% ProClin300防腐剂, 100 μg/mL牛血清白蛋白和50%甘油的磷酸盐缓冲液. |
注意:
1.本产品仅供研究使用.
2.建议用一抗稀释液(G2025)稀释本产品.
服务推荐
| 货号 | 名称 | 规格 | 价格 | 操作 |
|---|
产品推荐
| 货号 | 名称 | 规格 | 价格 | 操作 |
|---|
