
Anti-PD1 Rabbit pAb
- 100 μL
Product Information
Protein full name | Programmed cell death protein 1 |
Synonyms | PDCD1, CD279, PD-1, PD1, SLEB2, hPD-1, hPD-l, hSLE1, Programmed cell death 1 |
Immunogen | KLH conjugated Synthetic peptide corresponding to Mouse PD1 |
Uniprot ID | Q02242 |
Isotype | IgG |
Purity | Affinity purification |
Subcellular location | Cell membrane |
Predicted MW. / Observed MW. | 32 kDa / 40-70 kDa |
Applications
Applications | Species | Dilution | Positive Sample |
| WB | Human, Mouse, Rat | 1: 500-1: 1000 | spleen, thymus, appendix, lymph node |
IHC/IF | Human | 1: 1600-1: 3200 | tonsil |
Background
Programmed cell death 1 (PD-1, also known as CD279) is an immunoinhibitory receptor that belongs to the CD28/CTLA-4 subfamily of the Ig superfamily. It is a 288 amino acid (aa) type I transmembrane protein composed of one Ig superfamily domain, a stalk, a transmembrane domain, and an intracellular domain containing an immunoreceptor tyrosine-based inhibitory motif (ITIM) as well as an immunoreceptor tyrosine-based switch motif (ITSM) . PD-1 is expressed during thymic development and is induced in a variety of hematopoietic cells in the periphery by antigen receptor signaling and cytokines.
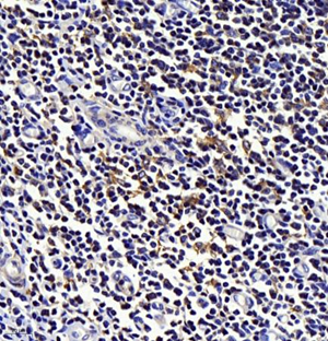
Images
| Western blot analysis of PD-1 (GB11338-1) at dilution of 1: 1000 |
| Western blot analysis of PD-1 (GB11338-1) at dilution of 1: 1000 |
| Immunohistochemistry analysis of paraffin embedded human tonsil using PD1 (GB11338-1) at dilution of 1:1600 |
Storage
| Storage | Store at -20 ℃ for one year. Avoid repeated freeze/ thaw cycles. |
| Storage Buffer | PBS with 0.02% sodium azide, 100 μg/ml BSA and 50% glycerol. |
NOTE:
1.This product is intended for research only.
2.This product is recommended to dilute with the Primary Antibody Dilution Buffer (G2025).
| 货号 | 名称 | 规格 | 价格 | 操作 |
|---|
| 货号 | 名称 | 规格 | 价格 | 操作 |
|---|





