
Anti-NK-p44 Rabbit pAb
- 50 μL
产品信息
|
蛋白质全称 |
自然细胞毒性触发受体2 |
|
别名 |
NCR2, CD336, LY95, NK-p44, NKP44, dJ149M18.1, natural cytotoxicity triggering receptor 2 |
|
Uniprot ID |
O95944 |
|
免疫原 |
KLH偶联的人NK-p44合成肽 |
|
抗体亚型 |
IgG |
|
纯化方式 |
亲和纯化 |
|
亚细胞定位 |
细胞膜 |
应用
| 应用 | 物种 | 稀释 | 阳性样品 |
| IHC/IF 免疫组织化学/免疫荧光 | 人, 小鼠 | 1: 250-1: 1000 | 阑尾, 脾 |
背景
NCR2 (NKp44) is a member of the natural cytotoxicity receptor (NCR) family that is expressed on activated human NK cells. NCR2 displays a single extracellular Ig-like V domain and a transmembrane portion containing the charged residue (Lysine), likely involved in the association with KARAP/DAP12 molecules.
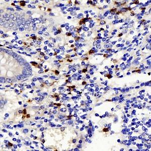
图像
|
|
IHC检测NK-p44蛋白(货号 GB11615). 样品: 人阑尾, 4%多聚甲醛 (货号G1101) 固定12-24小时. 抗原修复: 柠檬酸抗原修复液(干粉, pH 6.0) (G1201), 98℃, 20分钟. —抗: 1: 500稀释, 4℃ 孵育过夜. 二抗: HRP标记山羊抗兔IgG (H+L) (货号GB23303), 1: 200稀释, 室温孵育1小时. |
|
|
IHC检测NK-p44蛋白(货号 GB11615). 样品: 小鼠脾, 4%多聚甲醛 (货号G1101) 固定12-24小时. 抗原修复: 柠檬酸抗原修复液(干粉, pH 6.0) (G1201), 98℃, 20分钟. —抗: 1: 500稀释, 4℃ 孵育过夜. 二抗: HRP标记山羊抗兔IgG (H+L) (货号GB23303), 1: 200稀释, 室温孵育1小时. |
储存
| 储存条件 | 在-20℃下储存一年, 避免反复冻融. |
| 储存缓冲液 | 含0.15% ProClin300防腐剂, 100 μg/mL牛血清白蛋白和50%甘油的磷酸盐缓冲液. |
注意:
1.本产品仅供研究使用.
2.建议用一抗稀释液(G2025)稀释本产品.
| 货号 | 名称 | 规格 | 价格 | 操作 |
|---|
| 货号 | 名称 | 规格 | 价格 | 操作 |
|---|

