
Anti-VDAC1/Porin Rabbit pAb
- 100 μL
Product Information
Description | VDAC1 rabbit polyclonal |
Protein full name | Voltage-dependent anion-selective channel protein 1 |
Synonyms | VDAC1, PORIN, VDAC-1, VDAC,voltage dependent anion channel 1 |
Immunogen | Recombinant protein corresponding to Mouse VDAC1 |
Isotype | IgG |
Purity | Affinity purification |
Subcellular location | |
Uniprot ID |
Applications
Applications | Species | Dilution | Positive Tissue |
IHC | Human, Mouse, Rat | 1: 200-1: 800 | liver cancer, heart |
IF | Human, Mouse, Rat | 1: 400-1: 800 | liver cancer, heart |
Background
Forms a channel through the mitochondrial outer membrane and also the plasma membrane. The channel at the outer mitochondrial membrane allows diffusion of small hydrophilic molecules; in the plasma membrane it is involved in cell volume regulation and apoptosis. It adopts an open conformation at low or zero membrane potential and a closed conformation at potentials above 30-40 mV. The open state has a weak anion selectivity whereas the closed state is cation-selective . May participate in the formation of the permeability transition pore complex (PTPC) responsible for the release of mitochondrial products that triggers apoptosis.
Images
|
|
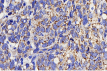
Immunohistochemistry analysis of paraffin-embedded human liver cancer using VDAC1(GB11251) at dilution of 1: 400 |
|
|
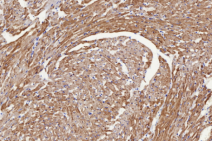
Immunohistochemistry analysis of paraffin-embedded rat heart using VDAC1(GB11251) at dilution of 1: 400 |
![]() |
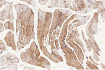
Immunohistochemistry analysis of paraffin-embedded mouse heart using VDAC1(GB11251) at dilution of 1: 400 |
Storage
| Storage | Store at -20 ℃ for one year. Avoid repeated freeze/ thaw cycles. |
| Storage Buffer | PBS with 0.02% sodium azide, 100 μg/ml BSA and 50% glycerol. |
NOTE:
1.This product is intended for research only.
2.This product is recommended to dilute with the Primary Antibody Dilution Buffer (G2025).
| 货号 | 名称 | 规格 | 价格 | 操作 |
|---|
| 货号 | 名称 | 规格 | 价格 | 操作 |
|---|





