
Anti-OXA1L Rabbit pAb
- 50 μL
产品信息
|
蛋白质全称 |
线粒体内膜蛋白OXA1L |
|
别名 |
Hsa, OXA1 like protein, OXA1Hs, OXA1L |
|
Uniprot ID |
Q8BGA9 |
|
免疫原 |
KLH偶联的小鼠 OXA1L合成肽 |
|
抗体亚型 |
IgG |
|
预测分子量./观测分子量. |
48 kDa / 40 kDa |
|
纯化方式 |
亲和纯化 |
|
亚细胞定位 |
膜, 线粒体 |
应用
| 应用 | 物种 | 稀释 | 阳性样品 |
| WB 免疫印迹 | 人, 小鼠 | 1: 800-1: 1200 | 心 |
| IHC/IF 免疫组织化学/免疫荧光 | 人 | 1: 500-1: 1000 | 乳腺癌, 肾 |
背景
Required for the insertion of integral membrane proteins into the mitochondrial inner membrane. Essential for the activity and assembly of cytochrome oxidase. Required for the correct biogenesis of ATP synthase and complex I in mitochondria.
图像
|
|
WB检测OXA1L蛋白(货号 GB114729). 样品: 经RIPA裂解液(货号G2002)处理的蛋白质. 封闭: 3%脱脂牛奶(货号GC310001)溶于TBST溶液, 室温孵育1小时. —抗: 1: 1200稀释, 4℃ 孵育过夜. 二抗: HRP标记山羊抗兔IgG (H+L) (货号GB23303), 1: 5000稀释, 室温孵育1小时. |
|
|
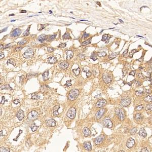
IHC检测OXA1L蛋白(货号 GB114729). 样品: 人肾, 4%多聚甲醛 (货号G1101) 固定12-24小时. 抗原修复: 柠檬酸抗原修复液(干粉, pH 6.0) (G1201), 98℃, 20分钟. —抗: 1: 500稀释, 4℃ 孵育过夜. 二抗: HRP标记山羊抗兔IgG (H+L) (货号GB23303), 1: 200稀释, 室温孵育1小时. |
|
|
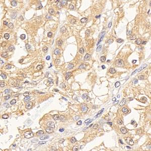
IHC检测OXA1L蛋白(货号 GB114729). 样品: 人乳腺癌, 4%多聚甲醛 (货号G1101) 固定12-24小时. 抗原修复: 柠檬酸抗原修复液(干粉, pH 6.0) (G1201), 98℃, 20分钟. —抗: 1: 500稀释, 4℃ 孵育过夜. 二抗: HRP标记山羊抗兔IgG (H+L) (货号GB23303), 1: 200稀释, 室温孵育1小时. |
储存
| 储存条件 | 在-20℃下储存一年, 避免反复冻融. |
| 储存缓冲液 | 含0.15% ProClin300防腐剂, 100 μg/mL牛血清白蛋白和50%甘油的磷酸盐缓冲液. |
注意:
1.本产品仅供研究使用.
2.建议用一抗稀释液(G2025)稀释本产品.
| 货号 | 名称 | 规格 | 价格 | 操作 |
|---|
| 货号 | 名称 | 规格 | 价格 | 操作 |
|---|


