
Anti-GAA1 Rabbit pAb
- 50 μL
产品信息
|
蛋白质全称 |
糖基磷脂酰肌醇锚定附着1蛋白 |
|
别名 |
GAA1, GAA1 protein homolog, GPAA1, hGAA1, GPI anchor attachment protein 1, mGAA1, Anchor attachment protein 1 (Gaa1p, yeast) homolog, GPI transamidase subunit |
|
Uniprot ID |
Q9WTK3 |
|
免疫原 |
小鼠GAA1重组蛋白 |
|
抗体亚型 |
IgG |
|
纯化方式 |
亲和纯化 |
|
亚细胞定位 |
内质网 |
应用
| 应用 | 物种 | 稀释 | 阳性样品 |
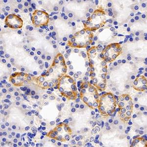
| IHC/IF 免疫组织化学/免疫荧光 | 大鼠 | 1: 2000-1: 4000 | 肾 |
背景
GPAA1(Glycosylphosphatidylinositol anchor attachment 1 protein) is also named as GAA1. It is the most conspicuously hydrophobic of the known subunits of GPIT, and it may play a key role in substrate recognition. It is predicted to be a multispanning membrane protein of 67 kDa with seven transmembrane (TM) domains, a large lumenal domain between the first two TM segments, and a cytoplasmically oriented N terminus bearing a potential ER retrieval signal in the form of a diarginine motif. It has 2 isoforms produced by alternative splicing and the full length protein has 2 glycosylation sites. This antibody is specific to GPAA1.
图像
|
|
IHC检测GAA1蛋白(货号 GB113592). 样品: 大鼠肾, 4%多聚甲醛 (货号G1101) 固定12-24小时. 抗原修复: 柠檬酸抗原修复液(干粉, pH 6.0) (G1201), 98℃, 20分钟. —抗: 1: 2000稀释, 4℃ 孵育过夜. 二抗: HRP标记山羊抗兔IgG (H+L) (货号GB23303), 1: 200稀释, 室温孵育1小时. |
储存
| 储存条件 | 在-20℃下储存一年, 避免反复冻融. |
| 储存缓冲液 | 含0.15% ProClin300防腐剂, 100 μg/mL牛血清白蛋白和50%甘油的磷酸盐缓冲液. |
注意:
1.本产品仅供研究使用.
2.建议用一抗稀释液(G2025)稀释本产品.
| 货号 | 名称 | 规格 | 价格 | 操作 |
|---|
| 货号 | 名称 | 规格 | 价格 | 操作 |
|---|
