
Anti-CPOX Rabbit pAb
- 50 μL
产品信息
|
蛋白质全称 |
依赖氧气的辅基卟啉原-III 氧化酶(线粒体型) |
|
别名 |
Coprogen oxidase, Coproporphyrinogen oxidase, Coproporphyrinogenase, COX, CPO, CPOX, CPX, HCP |
|
Uniprot ID |
P36552 |
|
免疫原 |
KLH偶联的小鼠CPOX合成肽 |
|
抗体亚型 |
IgG |
|
预测分子量./观测分子量. |
50 kDa / 37 kDa |
|
纯化方式 |
亲和纯化 |
|
亚细胞定位 |
线粒体膜间隙 |
应用
| 应用 | 物种 | 稀释 | 阳性样品 |
| WB 免疫印迹 | 小鼠, 大鼠 | 1: 500-1: 1000 | 胎儿肝 |
| IHC/IF 免疫组织化学/免疫荧光 | 人, 小鼠, 大鼠 | 1: 700-1: 2100 | 肝癌, 肝, 脑 |
背景
Involved in the heme biosynthesis. Catalyzes the aerobic oxidative decarboxylation of propionate groups of rings A and B of coproporphyrinogen-III to yield the vinyl groups in protoporphyrinogen-IX (By similarity).
图像
|
|
WB检测CPOX蛋白(货号 GB115241). 样品: 经RIPA裂解液(货号G2002)处理的蛋白质. 封闭: 3%脱脂牛奶(货号GC310001)溶于TBST溶液, 室温孵育1小时. —抗: 1: 1000稀释, 4℃ 孵育过夜. 二抗: HRP标记山羊抗兔IgG (H+L) (货号GB23303), 1: 5000稀释, 室温孵育1小时. |
|
|
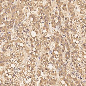
IHC检测CPOX蛋白(货号 GB115241). 样品: 人肝癌, 4%多聚甲醛 (货号G1101) 固定12-24小时. 抗原修复: Tris-EDTA抗原修复液(pH 9.0) (G1203), 98℃, 20分钟. —抗: 1: 700稀释, 4℃ 孵育过夜. 二抗: HRP标记山羊抗兔IgG (H+L) (货号GB23303), 1: 200稀释, 室温孵育1小时. |
|
|
IHC检测CPOX蛋白(货号 GB115241). 样品: 小鼠脑, 4%多聚甲醛 (货号G1101) 固定12-24小时. 抗原修复: Tris-EDTA抗原修复液(pH 9.0) (G1203), 98℃, 20分钟. —抗: 1: 700稀释, 4℃ 孵育过夜. 二抗: HRP标记山羊抗兔IgG (H+L) (货号GB23303), 1: 200稀释, 室温孵育1小时. |
|
|
IHC检测CPOX蛋白(货号 GB115241). 样品: 大鼠脑, 4%多聚甲醛 (货号G1101) 固定12-24小时. 抗原修复: Tris-EDTA抗原修复液(pH 9.0) (G1203), 98℃, 20分钟. —抗: 1: 700稀释, 4℃ 孵育过夜. 二抗: HRP标记山羊抗兔IgG (H+L) (货号GB23303), 1: 200稀释, 室温孵育1小时. |
储存
| 储存条件 | 在-20℃下储存一年, 避免反复冻融. |
| 储存缓冲液 | 含0.15% ProClin300防腐剂, 100 μg/mL牛血清白蛋白和50%甘油的磷酸盐缓冲液. |
注意:
1.本产品仅供研究使用.
2.建议用一抗稀释液(G2025)稀释本产品.
| 货号 | 名称 | 规格 | 价格 | 操作 |
|---|
| 货号 | 名称 | 规格 | 价格 | 操作 |
|---|



