
Anti-B3GAT1 Rabbit pAb
- 100 μL
产品信息
|
蛋白质全称 |
糖基转移酶3-β-葡糖醛酸基转移酶1 |
|
别名 |
B3GAT1, CD57, GlcAT-P, GLCATP, GlcUAT-P, Glucuronosyltransferase P, HNK-1, HNK1, LEU7, NK 1 |
|
Uniprot ID |
Q9CW73 |
|
免疫原 |
KLH偶联的小鼠B3GAT1合成肽 |
|
抗体亚型 |
IgG |
|
纯化方式 |
亲和纯化 |
|
亚细胞定位 |
内质网, 高尔基体, 分泌型 |
应用
| 应用 | 物种 | 稀释 | 阳性样品 |
| IHC/IF 免疫组织化学/免疫荧光 | 人 | 1: 600-1: 1200 | 扁桃体 |
背景
B3GAT1 plays a key role in neurodevelopment.B3GAT1 Involved in the biosynthesis of L2/HNK-1 carbohydrate epitope on glycoproteins. Can also play a role in glycosaminoglycan biosynthesis. Substrates include asialo-orosomucoid (ASOR), asialo-fetuin, and asialo-neural cell adhesion molecule. Requires sphingomyelin for activity: stearoyl-sphingomyelin was the most effective, followed by palmitoyl-sphingomyelin and lignoceroyl-sphingomyelin. Activity was demonstrated only for sphingomyelin with a saturated fatty acid and not for that with an unsaturated fatty acid, regardless of the length of the acyl group.
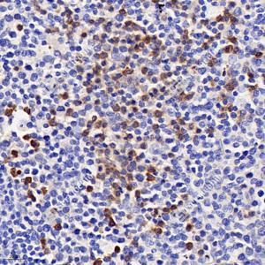
图像
|
|
IHC检测B3GAT1蛋白(货号 GB113461). 样品: 人扁桃体, 4%多聚甲醛 (货号G1101) 固定12-24小时. 抗原修复: 柠檬酸抗原修复液(干粉, pH 6.0) (G1201), 98℃, 20分钟. —抗: 1: 1000稀释, 4℃ 孵育过夜. 二抗: HRP标记山羊抗兔IgG (H+L) (货号GB23303), 1: 200稀释, 室温孵育1小时. |
储存
| 储存条件 | 在-20℃下储存一年, 避免反复冻融. |
| 储存缓冲液 | 含0.15% ProClin300防腐剂, 100 μg/mL牛血清白蛋白和50%甘油的磷酸盐缓冲液. |
注意:
1.本产品仅供研究使用.
2.建议用一抗稀释液(G2025)稀释本产品.
| 货号 | 名称 | 规格 | 价格 | 操作 |
|---|
| 货号 | 名称 | 规格 | 价格 | 操作 |
|---|
