
Anti-SDHA Rabbit pAb
- 100 μL
产品信息
蛋白质全称 | 琥珀酸脱氢酶黄素蛋白亚基(线粒体) |
别名 | FP, SDH2, SDHA, SDHF, Flavoprotein subunit of complex II, PGL5, CMD1GG |
免疫原 | KLH偶联的小鼠SDHA合成肽 |
Uniprot ID | |
抗体亚型 | IgG |
纯化方式 | 亲和纯化 |
亚细胞定位 | 线粒体内膜 |
预测分子量. / 观测分子量. | 73 kDa / 73 kDa |
应用
| 应用 | 物种 | 稀释 | 阳性样品 |
| WB 免疫印迹 | 人, 小鼠 | 1: 700-1: 1400 | 肾, 肝 |
| IHC/IF 免疫组织化学/免疫荧光 | 人 | 1: 1200-1: 2400 | 结肠癌, 肝癌, 肾癌 |
背景
SDHA, also named as SDH2, SDHF and Fp, belongs to the FAD-dependent oxidoreductase 2 family and FRD/SDH subfamily. SDHA is the flavoprotein subunit of succinate dehydrogenase (SDH) that is involved in complex II of the mitochondrial electron transport chain and is responsible for transferring electrons from succinate to ubiquinone (coenzyme Q). SDHA has 3 isoforms with the molecular mass of 73, 67 and 57 kDa, and the N-terminal (~5 kDa) can be removed in mature form. It can be detected a band of 68 kDa in cutaneous melanoma. SDHA may act as a tumor suppressor.
图像
| WB检测SDHA蛋白(货号 GB113278). 样品: 经RIPA裂解液(货号G2002)处理的蛋白质. 封闭: 3%脱脂牛奶(货号GC310001)溶于TBST溶液, 室温孵育1小时. —抗: 1: 1400稀释, 4℃ 孵育过夜. 二抗: HRP标记山羊抗兔IgG (H+L) (货号GB23303), 1: 5000稀释, 室温孵育1小时. |
| WB检测SDHA蛋白(货号 GB113278). 样品: 经RIPA裂解液(货号G2002)处理的蛋白质. 封闭: 3%脱脂牛奶(货号GC310001)溶于TBST溶液, 室温孵育1小时. —抗: 1: 1400稀释, 4℃ 孵育过夜. 二抗: HRP标记山羊抗兔IgG (H+L) (货号GB23303), 1: 5000稀释, 室温孵育1小时. |
| WB检测SDHA蛋白(货号 GB113278). 样品: 经RIPA裂解液(货号G2002)处理的蛋白质. 封闭: 3%脱脂牛奶(货号GC310001)溶于TBST溶液, 室温孵育1小时. —抗: 1: 1400稀释, 4℃ 孵育过夜. 二抗: HRP标记山羊抗兔IgG (H+L) (货号GB23303), 1: 5000稀释, 室温孵育1小时. |
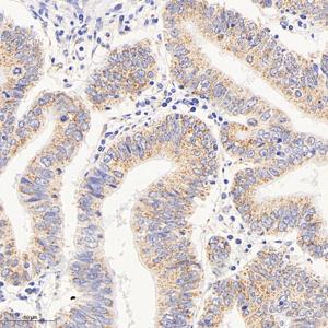
| IHC检测SDHA蛋白(货号 GB113278). 样品: 人结肠癌, 4%多聚甲醛 (货号G1101) 固定12-24小时. 抗原修复: 柠檬酸抗原修复液(干粉, pH 6.0) (G1201), 98℃, 20分钟. —抗: 1: 1200稀释, 4℃ 孵育过夜. 二抗: HRP标记山羊抗兔IgG (H+L) (货号GB23303), 1: 200稀释, 室温孵育1小时. |
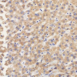
| IHC检测SDHA蛋白(货号 GB113278). 样品: 人肝癌, 4%多聚甲醛 (货号G1101) 固定12-24小时. 抗原修复: 柠檬酸抗原修复液(干粉, pH 6.0) (G1201), 98℃, 20分钟. —抗: 1: 1200稀释, 4℃ 孵育过夜. 二抗: HRP标记山羊抗兔IgG (H+L) (货号GB23303), 1: 200稀释, 室温孵育1小时. |
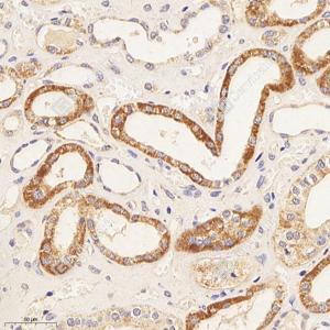
| IHC检测SDHA蛋白(货号 GB113278). 样品: 人肾, 4%多聚甲醛 (货号G1101) 固定12-24小时. 抗原修复: 柠檬酸抗原修复液(干粉, pH 6.0) (G1201), 98℃, 20分钟. —抗: 1: 1200稀释, 4℃ 孵育过夜. 二抗: HRP标记山羊抗兔IgG (H+L) (货号GB23303), 1: 200稀释, 室温孵育1小时. |
储存
| 储存条件 | 在-20℃下储存一年, 避免反复冻融. |
| 储存缓冲液 | 含0.15% ProClin300防腐剂, 100 μg/mL牛血清白蛋白和50%甘油的磷酸盐缓冲液. |
注意:
1.本产品仅供研究使用.
2.建议用一抗稀释液(G2025)稀释本产品.
| 货号 | 名称 | 规格 | 价格 | 操作 |
|---|
| 货号 | 名称 | 规格 | 价格 | 操作 |
|---|





