
Anti-EEA1 Rabbit pAb
- 50 μL
产品信息
蛋白质全称 | 早期内体抗原1 |
别名 | EEA1, MST105, MSTP105, ZFYVE2, Early endosome antigen 1 |
Uniprot ID | Q8BL66 |
免疫原 | 小鼠EEA1重组蛋白 |
抗体亚型 | IgG |
纯化方式 | 亲和纯化 |
亚细胞定位 | 细胞质 |
应用
| 应用 | 物种 | 稀释 | 阳性样品 |
| IHC/IF 免疫组织化学/免疫荧光 | 小鼠 | 1: 1000-1: 5000 | 脑, 结肠, 肺 |
背景
Early endosomes are cytoplasmic compartments that function in receiving and sorting endocytosed proteins for vesicular transport. EEA1 (early endosome antigen 1) is a peripheral membrane protein that co-localizes with the transferrin receptor and Rab5 on early endosomes. EEA1 contains a calmodulin-binding IQ motif and cysteine rich finger motif necessary for its specific localization to the early endosomes. EEA1 has sequence homology to several yeast proteins that have been implicated in membrane trafficking, including Vps27, Fab1 and Vac1.
图像
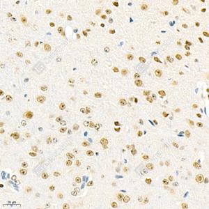
| IHC检测EEA1蛋白(货号 GB11727). 样品: 小鼠脑, 4%多聚甲醛 (货号G1101) 固定12-24小时. 抗原修复: 柠檬酸抗原修复液(干粉, pH 6.0) (G1201), 98℃, 20分钟. —抗: 1: 2500稀释, 4℃ 孵育过夜. 二抗: HRP标记山羊抗兔IgG (H+L) (货号GB23303), 1: 200稀释, 室温孵育1小时. |
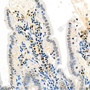
| IHC检测EEA1蛋白(货号 GB11727). 样品: 小鼠结肠, 4%多聚甲醛 (货号G1101) 固定12-24小时. 抗原修复: 柠檬酸抗原修复液(干粉, pH 6.0) (G1201), 98℃, 20分钟. —抗: 1: 2500稀释, 4℃ 孵育过夜. 二抗: HRP标记山羊抗兔IgG (H+L) (货号GB23303), 1: 200稀释, 室温孵育1小时. |
| IHC检测EEA1蛋白(货号 GB11727). 样品: 小鼠肺, 4%多聚甲醛 (货号G1101) 固定12-24小时. 抗原修复: 柠檬酸抗原修复液(干粉, pH 6.0) (G1201), 98℃, 20分钟. —抗: 1: 2500稀释, 4℃ 孵育过夜. 二抗: HRP标记山羊抗兔IgG (H+L) (货号GB23303), 1: 200稀释, 室温孵育1小时. |
储存
| 储存条件 | 在-20℃下储存一年, 避免反复冻融. |
| 储存缓冲液 | 含0.15% ProClin300防腐剂, 100 μg/mL牛血清白蛋白和50%甘油的磷酸盐缓冲液. |
注意:
1.本产品仅供研究使用.
2.建议用一抗稀释液(G2025)稀释本产品.
| 货号 | 名称 | 规格 | 价格 | 操作 |
|---|
| 货号 | 名称 | 规格 | 价格 | 操作 |
|---|


