
Anti-Lamin A + Lamin C Mouse mAb
- 100 μL
产品信息
|
蛋白质全称 |
前核纤层蛋白A/C |
|
别名 |
Lamin-A/C, Lmna, Lmn1, Cardiomyopathy dilated 1A (autosomal dominant), LGMD1B, LFP, LMNA, Renal carcinoma antigen NYREN32 |
|
Uniprot ID |
P48678 |
|
免疫原 |
KLH偶联的小鼠Lamin A + Lamin C合成肽 |
|
抗体亚型 |
IgG2b, κ |
|
克隆号 |
1D2D1 |
|
预测分子量./观测分子量. |
74 kDa / 74 kDa |
|
纯化方式 |
亲和纯化 |
|
亚细胞定位 |
细胞核 |
应用
| 应用 | 物种 | 稀释 | 阳性样品 |
| WB 免疫印迹 | 人, 小鼠, 大鼠 | 1: 1000-1: 2000 | 肺 |
| IHC/IF 免疫组织化学/免疫荧光 | 人, 大鼠 | 1: 1500-1: 3000 | 子宫颈癌, 肝 |
背景
The nuclear lamina consists of a two-dimensional matrix of proteins located next to the inner nuclear membrane. The lamin family of proteins make up the matrix and are highly conserved in evolution. During mitosis, the lamina matrix is reversibly disassembled as the lamin proteins are phosphorylated. Lamin proteins are thought to be involved in nuclear stability, chromatin structure and gene expression. Vertebrate lamins consist of two types, A and B. Alternative splicing results in multiple transcript variants.
图像
|
|
WB检测Lamin A + Lamin C蛋白(货号 GB122400). 样品: 经RIPA裂解液(货号G2002)处理的蛋白质. 封闭: 3%脱脂牛奶(货号GC310001)溶于TBST溶液, 室温孵育1小时. —抗: 1: 2000稀释, 4℃ 孵育过夜. 二抗: HRP标记山羊抗小鼠IgG (H+L) (货号GB23301), 1: 5000稀释, 室温孵育1小时. |
|
|
WB检测Lamin A + Lamin C蛋白(货号 GB122400). 样品: 经RIPA裂解液(货号G2002)处理的蛋白质. 封闭: 3%脱脂牛奶(货号GC310001)溶于TBST溶液, 室温孵育1小时. —抗: 1: 2000稀释, 4℃ 孵育过夜. 二抗: HRP标记山羊抗小鼠IgG (H+L) (货号GB23301), 1: 5000稀释, 室温孵育1小时. |
|
|
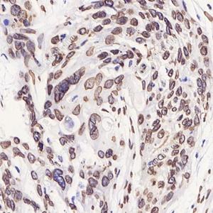
IHC检测Lamin A + Lamin C蛋白(货号 GB122400). 样品: 人宫颈癌, 4%多聚甲醛 (货号G1101) 固定12-24小时. 抗原修复: 柠檬酸抗原修复液(干粉, pH 6.0) (G1201), 高压锅均匀喷气计时2分钟. —抗: 1: 3000稀释, 4℃ 孵育过夜. 二抗: HRP标记山羊抗小鼠IgG (H+L) (货号GB23301), 1: 200稀释, 室温孵育1小时. |
|
|
IHC检测Lamin A + Lamin C蛋白(货号 GB122400). 样品: 人肺癌, 4%多聚甲醛 (货号G1101) 固定12-24小时. 抗原修复: 柠檬酸抗原修复液(干粉, pH 6.0) (G1201), 高压锅均匀喷气计时2分钟. —抗: 1: 3000稀释, 4℃ 孵育过夜. 二抗: HRP标记山羊抗小鼠IgG (H+L) (货号GB23301), 1: 200稀释, 室温孵育1小时. |
|
|
IHC检测Lamin A + Lamin C蛋白(货号 GB122400). 样品: 大鼠肝, 4%多聚甲醛 (货号G1101) 固定12-24小时. 抗原修复: 柠檬酸抗原修复液(干粉, pH 6.0) (G1201), 高压锅均匀喷气计时2分钟. —抗: 1: 3000稀释, 4℃ 孵育过夜. 二抗: HRP标记山羊抗小鼠IgG (H+L) (货号GB23301), 1: 200稀释, 室温孵育1小时. |
储存
| 储存条件 | 在-20℃下储存一年, 避免反复冻融. |
| 储存缓冲液 | 含0.15% ProClin300防腐剂, 100 μg/mL牛血清白蛋白和50%甘油的磷酸盐缓冲液. |
注意:
1.本产品仅供研究使用.
2.建议用一抗稀释液(G2025)稀释本产品.
| 货号 | 名称 | 规格 | 价格 | 操作 |
|---|
| 货号 | 名称 | 规格 | 价格 | 操作 |
|---|




