
Anti-CTRP5 Rabbit pAb
- 100 μL
产品信息
|
蛋白质全称 |
补体C1q肿瘤坏死因子相关蛋白5 |
|
别名 |
CTRP5, DKFZp586B0621, LORD, C1QTNF5 |
|
Uniprot ID |
Q8K479 |
|
免疫原 |
KLH偶联的小鼠CTRP5合成肽 |
|
抗体亚型 |
IgG |
|
预测分子量./观测分子量. |
25 kDa / 35-40 kDa |
|
纯化方式 |
亲和纯化 |
|
亚细胞定位 |
分泌型 |
应用
| 应用 | 物种 | 稀释 | 阳性样品 |
| WB 免疫印迹 | 小鼠 | 1: 1000-1: 2000 | 脑 |
| IHC/IF 免疫组织化学/免疫荧光 | 大鼠 | 1: 1200-1: 3600 | 白色脂肪 |
背景
CTRP5 is a short-chain collagen that is expressed in retinal pigment epithelium as well as brain, lung, liver and placenta. By forming an extracellular hexagonal lattice, CTRP5 facilitates the adhesion of basal retinal pigment epithelium to Bruch’s membrane, the innermost layer of the choroid. A mutation within the C1q domain of CTRP5 results in abnormal high molecular weight aggregate formation, which alters its structure and interactions. This mutation may result in the presentation of late-onset retinal degeneration (LORD), an autosomal dominant disorder that is characterized by punctate yellow-white deposits in the retinal fundus and night blindness.
图像
|
|
WB检测CTRP5蛋白(货号 GB114792). 样品: 经RIPA裂解液(货号G2002)处理的蛋白质. 封闭: 3%脱脂牛奶(货号GC310001)溶于TBST溶液, 室温孵育1小时. —抗: 1: 1000稀释, 4℃ 孵育过夜. 二抗: HRP标记山羊抗兔IgG (H+L) (货号GB23303), 1: 5000稀释, 室温孵育1小时. |
|
|
IHC检测CTRP5蛋白(货号 GB114792). 样品: 大鼠肝, 4%多聚甲醛 (货号G1101) 固定12-24小时. 抗原修复: 柠檬酸抗原修复液(干粉, pH 6.0) (G1201), 98℃, 20分钟. —抗: 1: 3600稀释, 4℃ 孵育过夜. 二抗: HRP标记山羊抗兔IgG (H+L) (货号GB23303), 1: 200稀释, 室温孵育1小时. |
|
|
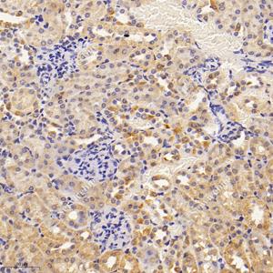
IHC检测CTRP5蛋白(货号 GB114792). 样品: 大鼠肾, 4%多聚甲醛 (货号G1101) 固定12-24小时. 抗原修复: 柠檬酸抗原修复液(干粉, pH 6.0) (G1201), 98℃, 20分钟. —抗: 1: 3600稀释, 4℃ 孵育过夜. 二抗: HRP标记山羊抗兔IgG (H+L) (货号GB23303), 1: 200稀释, 室温孵育1小时. |
|
|
IF检测CTRP5蛋白(货号 GB114792)(红色). 样品: 大鼠白色脂肪, 4%多聚甲醛 (货号G1101) 固定12-24小时. 抗原修复: Tris-EDTA抗原修复液(pH 9.0) (G1203), 98℃, 20分钟. 封闭: 3% BSA(货号GC305010)的PBS溶液, 室温孵育30分钟. —抗: 1: 300稀释, 4℃ 孵育过夜. 二抗: Cy3标记山羊抗兔IgG (H+L) (货号GB21303), 1: 300稀释, 室温孵育1小时. |
储存
| 储存条件 | 在-20℃下储存一年, 避免反复冻融. |
| 储存缓冲液 | 含0.15% ProClin300防腐剂, 100 μg/mL牛血清白蛋白和50%甘油的磷酸盐缓冲液. |
注意:
1.本产品仅供研究使用.
2.建议用一抗稀释液(G2025)稀释本产品.
| 货号 | 名称 | 规格 | 价格 | 操作 |
|---|
| 货号 | 名称 | 规格 | 价格 | 操作 |
|---|



