
Anti-Claudin 10 Rabbit pAb
- 50 μL
产品信息
|
蛋白质全称 |
紧密连接蛋白10 |
|
别名 |
Cldn10, Cldn10a, CLDN10 protein, CPETRL 3, OSP like protein, OSPL |
|
Uniprot ID |
Q9Z0S6 |
|
免疫原 |
KLH偶联的人Claudin 10合成肽 |
|
抗体亚型 |
IgG |
|
纯化方式 |
亲和纯化 |
|
亚细胞定位 |
细胞膜, 内质网 |
应用
| 应用 | 物种 | 稀释 | 阳性样品 |
| IHC/IF 免疫组织化学/免疫荧光 | 大鼠 | 1: 800-1: 2000 | 肾, 肺, 子宫 |
背景
Claudin-10 is a 228 amino acid multi-pass membrane protein that belongs to the claudin family and plays an important role in cell-adhesion activity and tight junction-specific events.The claudin superfamily consists of many structurally related proteins in humans. These proteins are important structural and functional components of tight junctions in paracellular transport. Claudins are located in both epithelial and endothelial cells in all tight junction-bearing tissues. Claudins, which consist of four transmembrane domains and two extracellular loops, make up tight junction strands.
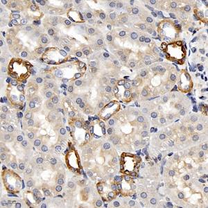
图像
|
|
IHC检测Claudin 10蛋白(货号 GB112257). 样品: 大鼠肾, 4%多聚甲醛 (货号G1101) 固定12-24小时. 抗原修复: 柠檬酸抗原修复液(干粉, pH 6.0) (G1201), 98℃, 20分钟. —抗: 1: 700稀释, 4℃ 孵育过夜. 二抗: HRP标记山羊抗兔IgG (H+L) (货号GB23303), 1: 200稀释, 室温孵育1小时. |
|
|
IHC检测Claudin 10蛋白(货号 GB112257). 样品: 大鼠肾, 4%多聚甲醛 (货号G1101) 固定12-24小时. 抗原修复: 柠檬酸抗原修复液(干粉, pH 6.0) (G1201), 98℃, 20分钟. —抗: 1: 650稀释, 4℃ 孵育过夜. 二抗: HRP标记山羊抗兔IgG (H+L) (货号GB23303), 1: 200稀释, 室温孵育1小时. |
|
|
IHC检测Claudin 10蛋白(货号 GB112257). 样品: 大鼠肺, 4%多聚甲醛 (货号G1101) 固定12-24小时. 抗原修复: 柠檬酸抗原修复液(干粉, pH 6.0) (G1201), 98℃, 20分钟. —抗: 1: 650稀释, 4℃ 孵育过夜. 二抗: HRP标记山羊抗兔IgG (H+L) (货号GB23303), 1: 200稀释, 室温孵育1小时. |
|
|
IHC检测Claudin 10蛋白(货号 GB112257). 样品: 大鼠子宫, 4%多聚甲醛 (货号G1101) 固定12-24小时. 抗原修复: 柠檬酸抗原修复液(干粉, pH 6.0) (G1201), 98℃, 20分钟. —抗: 1: 650稀释, 4℃ 孵育过夜. 二抗: HRP标记山羊抗兔IgG (H+L) (货号GB23303), 1: 200稀释, 室温孵育1小时. |
储存
| 储存条件 | 在-20℃下储存一年, 避免反复冻融. |
| 储存缓冲液 | 含0.15% ProClin300防腐剂, 100 μg/mL牛血清白蛋白和50%甘油的磷酸盐缓冲液. |
注意:
1.本产品仅供研究使用.
2.建议用一抗稀释液(G2025)稀释本产品.
| 货号 | 名称 | 规格 | 价格 | 操作 |
|---|
| 货号 | 名称 | 规格 | 价格 | 操作 |
|---|



