
Anti-MIIP Rabbit pAb
- 100 μL
产品信息
|
蛋白质全称 |
迁移侵袭抑制蛋白 |
|
别名 |
Invasion-inhibitory protein 45, IIp45, Miip, D4Wsu114e, Iip45, IGFBP2 binding protein |
|
Uniprot ID |
A2A7Y5 |
|
免疫原 |
小鼠MIIP重组蛋白 |
|
抗体亚型 |
IgG |
|
纯化方式 |
亲和纯化 |
|
亚细胞定位 |
细胞核 |
应用
| 应用 | 物种 | 稀释 | 阳性样品 |
| IHC/IF 免疫组织化学/免疫荧光 | 人 | 1: 600-1: 1200 | 结肠癌,食道癌 |
背景
MIIP has 3 SEG (segments of low compositional complexity) domains, an RGD motif, and several potential phosphorylation sites. The C-terminal region of IGFBP2 interacts with a central 44-amino acid sequence of MIIP. MIIP inhibits glioma cells invasion and down-regulates adhesion- and motility-associated genes such as NFKB2 and ICAM1. It exhibits opposing effects to IGFBP2 on cell invasion. There are 2 named isoforms due to alternative splicing.
图像
|
|
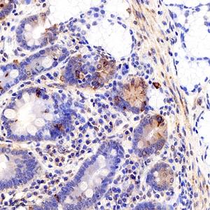
IHC检测MIIP蛋白(货号 GB113045). 样品: 人结肠癌, 4%多聚甲醛 (货号G1101) 固定12-24小时. 抗原修复: 柠檬酸抗原修复液(干粉, pH 6.0) (G1201), 98℃, 20分钟. —抗: 1: 650稀释, 4℃ 孵育过夜. 二抗: HRP标记山羊抗兔IgG (H+L) (货号GB23303), 1: 200稀释, 室温孵育1小时. |
|
|
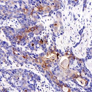
IHC检测MIIP蛋白(货号 GB113045). 样品: 人食管癌, 4%多聚甲醛 (货号G1101) 固定12-24小时. 抗原修复: 柠檬酸抗原修复液(干粉, pH 6.0) (G1201), 98℃, 20分钟. —抗: 1: 650稀释, 4℃ 孵育过夜. 二抗: HRP标记山羊抗兔IgG (H+L) (货号GB23303), 1: 200稀释, 室温孵育1小时. |
储存
| 储存条件 | 在-20℃下储存一年, 避免反复冻融. |
| 储存缓冲液 | 含0.15% ProClin300防腐剂, 100 μg/mL牛血清白蛋白和50%甘油的磷酸盐缓冲液. |
注意:
1.本产品仅供研究使用.
2.建议用一抗稀释液(G2025)稀释本产品.
| 货号 | 名称 | 规格 | 价格 | 操作 |
|---|
| 货号 | 名称 | 规格 | 价格 | 操作 |
|---|

