
Anti-CHL1 Rabbit pAb
- 50 μL
产品信息
|
蛋白质全称 |
神经细胞粘附分子L1样蛋白 |
|
别名 |
CALL, CHL1, Close homolog of L1, L1CAM2, FLJ44930 |
|
Uniprot ID |
P70232 |
|
免疫原 |
KLH偶联的小鼠CHL1合成肽 |
|
抗体亚型 |
IgG |
|
纯化方式 |
亲和纯化 |
|
亚细胞定位 |
细胞膜, 胞外基质, 分泌型 |
应用
| 应用 | 物种 | 稀释 | 阳性样品 |
| IHC/IF 免疫组织化学/免疫荧光 | 小鼠, 大鼠 | 1: 200-1: 400 | 脑 |
背景
The protein encoded by this gene is a member of the L1 gene family of neural cell adhesion molecules. It is a neural recognition molecule that may be involved in signal transduction pathways. The deletion of one copy of this gene may be responsible for mental defects in patients with 3p- syndrome. This protein may also play a role in the growth of certain cancers. Alternate splicing results in both coding and non-coding variants.
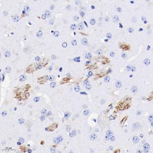
图像
|
|
IHC检测CHL1蛋白(货号 GB113742). 样品: 小鼠脑, 4%多聚甲醛 (货号G1101) 固定12-24小时. 抗原修复: 柠檬酸抗原修复液(干粉, pH 6.0) (G1201), 98℃, 20分钟. —抗: 1: 400稀释, 4℃ 孵育过夜. 二抗: HRP标记山羊抗兔IgG (H+L) (货号GB23303), 1: 200稀释, 室温孵育1小时. |
储存
| 储存条件 | 在-20℃下储存一年, 避免反复冻融. |
| 储存缓冲液 | 含0.15% ProClin300防腐剂, 100 μg/mL牛血清白蛋白和50%甘油的磷酸盐缓冲液. |
注意:
1.本产品仅供研究使用.
2.建议用一抗稀释液(G2025)稀释本产品.
| 货号 | 名称 | 规格 | 价格 | 操作 |
|---|
| 货号 | 名称 | 规格 | 价格 | 操作 |
|---|
