
Anti-Claudin 4 Rabbit pAb
¥1650
货号:YB114067-100
品牌:YIKE
规格:
- 100 μL
数量:
产品信息
蛋白质全称 | 紧密连接蛋白4 |
别名 | claudin 4, Claudin 4-specific, CLDN4, CPE R, CPE receptor, CPER, CPETR, CPETR1, hCPE R, WBSCR8 |
Uniprot ID | O14493 |
免疫原 | KLH偶联的人Claudin 4合成肽 |
抗体亚型 | IgG |
预测分子量./观测分子量. | 22 kDa / 18-22 kDa |
纯化方式 | 亲和纯化 |
亚细胞定位 | 细胞膜 |
应用
| 应用 | 物种 | 稀释 | 阳性样品 |
| WB 免疫印迹 | 人 | 1: 500-1: 1000 | MCF-7细胞, A-431细胞, PC-3细胞 |
| IHC/IF 免疫组织化学/免疫荧光 | 人 | 1: 1500-1: 3000 | 结肠癌 |
背景
Channel-forming tight junction protein that mediates paracellular chloride transport in the kidney. Plays a critical role in the paracellular reabsorption of filtered chloride in the kidney collecting ducts. Claudins play a major role in tight junction-specific obliteration of the intercellular space, through calcium-independent cell-adhesion activity.
图像
| WB检测Claudin 4蛋白(货号 GB114056). 样品: 经RIPA裂解液(货号G2002)处理的蛋白质. 封闭: 3%脱脂牛奶(货号GC310001)溶于TBST溶液, 室温孵育1小时. —抗: 1: 1000稀释, 4℃ 孵育过夜. 二抗: HRP标记山羊抗兔IgG (H+L) (货号GB23303), 1: 5000稀释, 室温孵育1小时. |
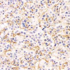
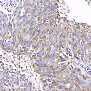
| IHC检测Claudin 4蛋白(货号 GB114056). 样品: 人结肠癌, 4%多聚甲醛 (货号G1101) 固定12-24小时. 抗原修复: 柠檬酸抗原修复液(干粉, pH 6.0) (G1201), 98℃, 20分钟. —抗: 1: 1500稀释, 4℃ 孵育过夜. 二抗: HRP标记山羊抗兔IgG (H+L) (货号GB23303), 1: 200稀释, 室温孵育1小时. |
| IHC检测Claudin 4蛋白(货号 GB114056). 样品: 人子宫内膜癌, 4%多聚甲醛 (货号G1101) 固定12-24小时. 抗原修复: 柠檬酸抗原修复液(干粉, pH 6.0) (G1201), 98℃, 20分钟. —抗: 1: 1500稀释, 4℃ 孵育过夜. 二抗: HRP标记山羊抗兔IgG (H+L) (货号GB23303), 1: 200稀释, 室温孵育1小时. |
| IHC检测Claudin 4蛋白(货号 GB114056). 样品: 人肝癌, 4%多聚甲醛 (货号G1101) 固定12-24小时. 抗原修复: 柠檬酸抗原修复液(干粉, pH 6.0) (G1201), 98℃, 20分钟. —抗: 1: 1500稀释, 4℃ 孵育过夜. 二抗: HRP标记山羊抗兔IgG (H+L) (货号GB23303), 1: 200稀释, 室温孵育1小时. |
储存
| 储存条件 | 在-20℃下储存一年, 避免反复冻融. |
| 储存缓冲液 | 含0.15% ProClin300防腐剂, 100 μg/mL牛血清白蛋白和50%甘油的磷酸盐缓冲液. |
注意:
1.本产品仅供研究使用.
2.建议用一抗稀释液(G2025)稀释本产品.
服务推荐
| 货号 | 名称 | 规格 | 价格 | 操作 |
|---|
产品推荐
| 货号 | 名称 | 规格 | 价格 | 操作 |
|---|



