
Anti-beta Catenin Mouse mAb
- 50 μL
Product Information
Protein full name | Catenin beta-1 |
Gene Id | 1499 |
Immunogen | Synthesized peptide derived from human Beta-catenin |
Uniprot ID | P35222 |
Source | Mouse/IgG2b, Kappa |
Concentration | 1 mg/ml |
Purity | The antibody was affinity-purified from mouse ascites by affinity-chromatography using specific immunogen. |
Applications
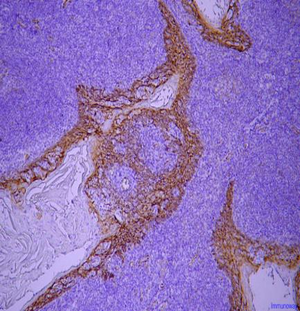
IHC/IF | Human | 1: 200-1: 500 | tonsil |
Background
Beta-catenin, an adherens junction (AJ) protein, was originally identified as a component of cell-cell adhesion structures. AJs are necessary for the creation and maintenance of epithelial cell layers by regulating cell growth and adhesion between cells. Beta-catenin interacts with the cytoplasmic domain of E-cadherin and links E-cadherin to alpha-catenin, which in turn mediates anchorage of the E-cadherin complex to the cortical actin cytoskeleton. Studies show that Beta-catenin also binds to another cytoskeletal complex containing the adenomatous polyposis coli protein and microtubules, and interacts with several signaling pathways that include tyrosine kinases, phosphatases and Wnt/Wingless. The interplay between beta-catenin, cytoskeletal complexes and signaling pathways may regulate morphogenesis.
Images
| Immunohistochemistry analysis of paraffin embedded human tonsil using beta Catenin (GB14009) at dilution of 1: 200 |
Storage
| Storage | Store at -20 ℃ for one year. Avoid repeated freeze/thaw cycles. |
| Storage Buffer | Liquid in PBS containing 50% glycerol, 0.5% BSA and 0.02% sodium azide. |
NOTE:
1.This product is intended for research only.
2.This product is recommended to dilute with the Primary Antibody Dilution Buffer (G2025).
| 货号 | 名称 | 规格 | 价格 | 操作 |
|---|
| 货号 | 名称 | 规格 | 价格 | 操作 |
|---|

