
Recombinant Anti-Prostein (p501S)/Solute Carrier Family 45 Member 3 (SLC45A3) antibody (Rabbit mAb)
¥950
货号:YB150206-50
品牌:YIKE
规格:
- 50 μL
数量:
产品信息
蛋白质全称 | 溶质载体家族 45 成员 3 |
别名 | PCANAP6, PRST, SLC45A3, Prostate cancer-associated protein 6 Prostein, Solute carrier family 45 member 3 |
Uniprot ID | Q96JT2 |
免疫原 | 人SLC45A3重组蛋白 |
抗体亚型 | IgG, κ |
克隆号 | SB658 |
纯化方式 | 亲和纯化 |
亚细胞定位 | 膜 |
应用
| 应用 | 物种 | 稀释 | 阳性样品 |
| IHC/IF 免疫组织化学/免疫荧光 | 人 | 1: 1000-1: 2000 | 前列腺, 前列腺癌 |
背景
Proton-associated sucrose transporter. May be able to transport also glucose and fructose.
图像
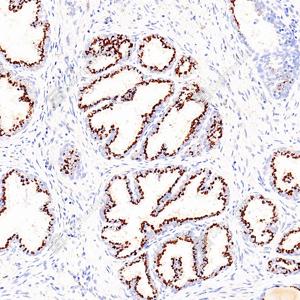
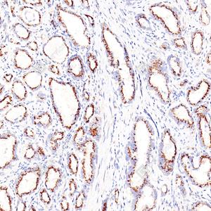
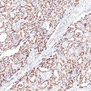
| IHC检测Prostein (p501S)/Solute Carrier Family 45 Member 3 (SLC45A3)蛋白(货号 GB150195). 样品: 人前列腺, 4%多聚甲醛 (货号G1101) 固定12-24小时. 抗原修复: 抗原修复仪(货号 ARI-4),Tris-EDTA抗原修复液(pH 9.0) (货号G1203), 水浴100℃, 25分钟. —抗: 1: 1000稀释, 4℃ 孵育过夜. 二抗: S-vision免疫组化多聚二抗(山羊抗兔),即用型 (货号G1302), 室温孵育20分钟. |
| IHC检测Prostein (p501S)/Solute Carrier Family 45 Member 3 (SLC45A3)蛋白(货号 GB150195). 样品: 人前列腺癌, 4%多聚甲醛 (货号G1101) 固定12-24小时. 抗原修复: 抗原修复仪(货号 ARI-4),Tris-EDTA抗原修复液(pH 9.0) (货号G1203), 水浴100℃, 25分钟. —抗: 1: 1000稀释, 4℃ 孵育过夜. 二抗: S-vision免疫组化多聚二抗(山羊抗兔),即用型 (货号G1302), 室温孵育20分钟. |
| IHC检测Prostein (p501S)/Solute Carrier Family 45 Member 3 (SLC45A3)蛋白(货号 GB150195). 样品: 人前列腺癌, 4%多聚甲醛 (货号G1101) 固定12-24小时. 抗原修复: 抗原修复仪(货号 ARI-4),Tris-EDTA抗原修复液(pH 9.0) (货号G1203), 水浴100℃, 25分钟. —抗: 1: 1000稀释, 4℃ 孵育过夜. 二抗: S-vision免疫组化多聚二抗(山羊抗兔),即用型 (货号G1302), 室温孵育20分钟. |
| IHC检测Prostein (p501S)/Solute Carrier Family 45 Member 3 (SLC45A3)蛋白(货号 GB150195). 样品: 人前列腺, 4%多聚甲醛 (货号G1101) 固定12-24小时. 抗原修复: 抗原修复仪(货号 ARI-4),Tris-EDTA抗原修复液(pH 9.0) (货号G1203), 水浴100℃, 25分钟. —抗: 1: 1000稀释, 4℃ 孵育过夜. 二抗: S-vision免疫组化多聚二抗(山羊抗兔),即用型 (货号G1302), 室温孵育20分钟. |
| IF检测Prostein (p501S)/Solute Carrier Family 45 Member 3 (SLC45A3)蛋白(货号 GB150195)(红色). 样品: 人前列腺, 4%多聚甲醛 (货号G1101) 固定12-24小时. 抗原修复: 抗原修复仪(货号 ARI-4),Tris-EDTA抗原修复液(pH 9.0) (货号G1203), 水浴100℃, 25分钟. 封闭: 3% BSA(货号GC305010)的PBS溶液, 室温孵育30分钟. —抗: 1: 1000稀释, 4℃ 孵育过夜. 二抗: Cy3标记山羊抗兔IgG (H+L) (货号GB21303), 1: 300稀释, 室温孵育1小时. |
储存
| 储存条件 | 在-20℃下储存一年, 避免反复冻融. |
| 储存缓冲液 | 含0.15% ProClin300防腐剂, 100 μg/mL牛血清白蛋白和50%甘油的磷酸盐缓冲液. |
注意:
1.本产品仅供研究使用.
2.建议用一抗稀释液(G2025)稀释本产品.
服务推荐
| 货号 | 名称 | 规格 | 价格 | 操作 |
|---|
产品推荐
| 货号 | 名称 | 规格 | 价格 | 操作 |
|---|




