
Anti-ULK2 Rabbit pAb
- 100 μL
产品信息
|
蛋白质全称 |
丝氨酸/苏氨酸蛋白激酶ULK2 |
|
别名 |
KIAA0623, Unc51.2 |
|
Uniprot ID |
Q9QY01 |
|
免疫原 |
小鼠ULK2重组蛋白 |
|
抗体亚型 |
IgG |
|
预测分子量./观测分子量. |
113 kDa / 113 kDa |
|
纯化方式 |
亲和纯化 |
|
亚细胞定位 |
胞质囊泡膜 |
应用
| 应用 | 物种 | 稀释 | 阳性样品 |
| WB 免疫印迹 | 人, 小鼠, 大鼠 | 1: 300-1: 800 | 脑, 睾丸 |
| IHC/IF 免疫组织化学/免疫荧光 | 人, 小鼠, 大鼠 | 1: 300-1: 600 | 胃癌, 脑 |
背景
Serine/threonine-protein kinase involved in autophagy in response to starvation.Acts upstream of phosphatidylinositol 3-kinase PIK3C3 to regulate the formation of autophagophores, the precursors of autophagosomes.Part of regulatory feedback loops in autophagy: acts both as a downstream effector and a negative regulator of mammalian target of rapamycin complex 1 (mTORC1) via interaction with RPTOR.Activated via phosphorylation by AMPK, also acts as a negative regulator of AMPK through phosphorylation of the AMPK subunits PRKAA1, PRKAB2 and PRKAG1.
图像
|
|
WB检测ULK2蛋白(货号 GB115633). 样品: 经RIPA裂解液(货号G2002)处理的蛋白质. 封闭: 3%脱脂牛奶(货号GC310001)溶于TBST溶液, 室温孵育1小时. —抗: 1: 300稀释, 4℃ 孵育过夜. 二抗: HRP标记山羊抗兔IgG (H+L) (货号GB23303), 1: 5000稀释, 室温孵育1小时. |
|
|
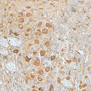
IHC检测ULK2蛋白(货号 GB115633). 样品: 人胃癌, 4%多聚甲醛 (货号G1101) 固定12-24小时. 抗原修复: 柠檬酸抗原修复液(干粉, pH 6.0) (G1201), 98℃, 20分钟. —抗: 1: 300稀释, 4℃ 孵育过夜. 二抗: HRP标记山羊抗兔IgG (H+L) (货号GB23303), 1: 200稀释, 室温孵育1小时. |
|
|
IHC检测ULK2蛋白(货号 GB115633). 样品: 人肺鳞状细胞癌, 4%多聚甲醛 (货号G1101) 固定12-24小时. 抗原修复: 柠檬酸抗原修复液(干粉, pH 6.0) (G1201), 98℃, 20分钟. —抗: 1: 300稀释, 4℃ 孵育过夜. 二抗: HRP标记山羊抗兔IgG (H+L) (货号GB23303), 1: 200稀释, 室温孵育1小时. |
|
|
IHC检测ULK2蛋白(货号 GB115633). 样品: 大鼠脑, 4%多聚甲醛 (货号G1101) 固定12-24小时. 抗原修复: 柠檬酸抗原修复液(干粉, pH 6.0) (G1201), 98℃, 20分钟. —抗: 1: 300稀释, 4℃ 孵育过夜. 二抗: HRP标记山羊抗兔IgG (H+L) (货号GB23303), 1: 200稀释, 室温孵育1小时. |
储存
| 储存条件 | 在-20℃下储存一年, 避免反复冻融. |
| 储存缓冲液 | 含0.15% ProClin300防腐剂, 100 μg/mL牛血清白蛋白和50%甘油的磷酸盐缓冲液. |
注意:
1.本产品仅供研究使用.
2.建议用一抗稀释液(G2025)稀释本产品.
| 货号 | 名称 | 规格 | 价格 | 操作 |
|---|
| 货号 | 名称 | 规格 | 价格 | 操作 |
|---|



