
Recombinant Anti-LRP1 antibody (Rabbit mAb)
- 100 μL
产品信息
蛋白质全称 | 低密度脂蛋白受体相关蛋白1 |
别名 | A2MR, Alpha 2 macroglobulin receptor, APOER, Apolipoprotein E receptor, APR, CD91, IGFBP3R, LRP, LRP 1, LRP1, LRPICD, TGFBR5 |
Uniprot ID | Q07954 |
免疫原 | KLH偶联的人LRP1合成磷酸肽 |
抗体亚型 | IgG |
克隆号 | SB654 |
预测分子量./观测分子量. | 505 kDa / 85 kDa |
纯化方式 | 亲和纯化 |
亚细胞定位 | 高尔基体前哨, 细胞质, 细胞膜, 细胞核 |
应用
| 应用 | 物种 | 稀释 | 阳性样品 |
| WB 免疫印迹 | 人, 小鼠, 大鼠 | 1: 1000-1: 2000 | 肝, HeLa细胞, U-87 MG细胞 |
| IHC/IF 免疫组织化学/免疫荧光 | 人, 小鼠, 大鼠 | 1: 2000-1: 4000 | 食管癌, 肾, 肝 |
背景
Endocytic receptor involved in endocytosis and in phagocytosis of apoptotic cells. Required for early embryonic development. Involved in cellular lipid homeostasis. Involved in the plasma clearance of chylomicron remnants and activated LRPAP1 (alpha 2-macroglobulin), as well as the local metabolism of complexes between plasminogen activators and their endogenous inhibitors. Acts as an alpha-2-macroglobulin receptor (By similarity). Acts as TAU/MAPT receptor and controls the endocytosis of TAU/MAPT as well as its subsequent spread. May modulate cellular events, such as APP metabolism, kinase-dependent intracellular signaling, neuronal calcium signaling as well as neurotransmission (By similarity).; (Microbial infection) Functions as a receptor for Vibrio cholerae cholix toxin and for Pseudomonas aeruginosa exotoxin A.
图像
| WB检测LRP1蛋白(货号 GB155473). 样品: 经RIPA裂解液(货号G2002)处理的蛋白质. 封闭: 3%脱脂牛奶(货号GC310001)溶于TBST溶液, 室温孵育1小时. —抗: 1: 1000稀释, 4℃ 孵育过夜. 二抗: HRP标记山羊抗兔IgG (H+L) (货号GB23303), 1: 5000稀释, 室温孵育1小时. |
| WB检测LRP1蛋白(货号 GB155473). 样品: 经RIPA裂解液(货号G2002)处理的蛋白质. 封闭: 3%脱脂牛奶(货号GC310001)溶于TBST溶液, 室温孵育1小时. —抗: 1: 1000稀释, 4℃ 孵育过夜. 二抗: HRP标记山羊抗兔IgG (H+L) (货号GB23303), 1: 5000稀释, 室温孵育1小时. |
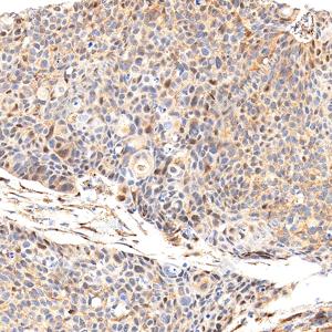
| IHC检测LRP1蛋白(货号 GB155473). 样品: 人食管癌, 4%多聚甲醛 (货号G1101) 固定12-24小时. 抗原修复: 抗原修复仪(货号 ARI-4),Tris-EDTA抗原修复液(pH 9.0) (货号G1203), 水浴100℃, 25分钟. —抗: 1: 2000稀释, 4℃ 孵育过夜. 二抗: S-vision免疫组化多聚二抗(山羊抗兔),即用型 (货号G1302), 室温孵育20分钟. |
| IHC检测LRP1蛋白(货号 GB155473). 样品: 人肾, 4%多聚甲醛 (货号G1101) 固定12-24小时. 抗原修复: 抗原修复仪(货号 ARI-4),Tris-EDTA抗原修复液(pH 9.0) (货号G1203), 水浴100℃, 25分钟. —抗: 1: 2000稀释, 4℃ 孵育过夜. 二抗: S-vision免疫组化多聚二抗(山羊抗兔),即用型 (货号G1302), 室温孵育20分钟. |
| IHC检测LRP1蛋白(货号 GB155473). 样品: 小鼠肾, 4%多聚甲醛 (货号G1101) 固定12-24小时. 抗原修复: 抗原修复仪(货号 ARI-4),Tris-EDTA抗原修复液(pH 9.0) (货号G1203), 水浴100℃, 25分钟. —抗: 1: 2000稀释, 4℃ 孵育过夜. 二抗: S-vision免疫组化多聚二抗(山羊抗兔),即用型 (货号G1302), 室温孵育20分钟. |
| IHC检测LRP1蛋白(货号 GB155473). 样品: 小鼠肝, 4%多聚甲醛 (货号G1101) 固定12-24小时. 抗原修复: 抗原修复仪(货号 ARI-4),Tris-EDTA抗原修复液(pH 9.0) (货号G1203), 水浴100℃, 25分钟. —抗: 1: 2000稀释, 4℃ 孵育过夜. 二抗: S-vision免疫组化多聚二抗(山羊抗兔),即用型 (货号G1302), 室温孵育20分钟. |
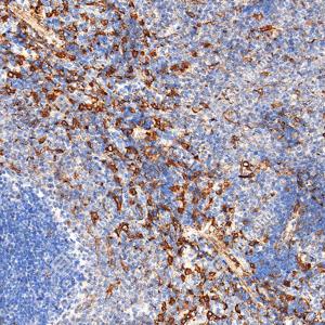
| IHC检测LRP1蛋白(货号 GB155473). 样品: 人扁桃体, 4%多聚甲醛 (货号G1101) 固定12-24小时. 抗原修复: 抗原修复仪(货号 ARI-4),Tris-EDTA抗原修复液(pH 9.0) (货号G1203), 水浴100℃, 25分钟. —抗: 1: 2000稀释, 4℃ 孵育过夜. 二抗: S-vision免疫组化多聚二抗(山羊抗兔),即用型 (货号G1302), 室温孵育20分钟. |
| IHC检测LRP1蛋白(货号 GB155473). 样品: 小鼠睾丸, 4%多聚甲醛 (货号G1101) 固定12-24小时. 抗原修复: 抗原修复仪(货号 ARI-4),Tris-EDTA抗原修复液(pH 9.0) (货号G1203), 水浴100℃, 25分钟. —抗: 1: 2000稀释, 4℃ 孵育过夜. 二抗: S-vision免疫组化多聚二抗(山羊抗兔),即用型 (货号G1302), 室温孵育20分钟. |
| IHC检测LRP1蛋白(货号 GB155473). 样品: 大鼠肾, 4%多聚甲醛 (货号G1101) 固定12-24小时. 抗原修复: 抗原修复仪(货号 ARI-4),Tris-EDTA抗原修复液(pH 9.0) (货号G1203), 水浴100℃, 25分钟. —抗: 1: 2000稀释, 4℃ 孵育过夜. 二抗: S-vision免疫组化多聚二抗(山羊抗兔),即用型 (货号G1302), 室温孵育20分钟. |
| IHC检测LRP1蛋白(货号 GB155473). 样品: 大鼠脾, 4%多聚甲醛 (货号G1101) 固定12-24小时. 抗原修复: 抗原修复仪(货号 ARI-4),Tris-EDTA抗原修复液(pH 9.0) (货号G1203), 水浴100℃, 25分钟. —抗: 1: 2000稀释, 4℃ 孵育过夜. 二抗: S-vision免疫组化多聚二抗(山羊抗兔),即用型 (货号G1302), 室温孵育20分钟. |
| IHC检测LRP1蛋白(货号 GB155473). 样品: 大鼠睾丸, 4%多聚甲醛 (货号G1101) 固定12-24小时. 抗原修复: 抗原修复仪(货号 ARI-4),Tris-EDTA抗原修复液(pH 9.0) (货号G1203), 水浴100℃, 25分钟. —抗: 1: 2000稀释, 4℃ 孵育过夜. 二抗: S-vision免疫组化多聚二抗(山羊抗兔),即用型 (货号G1302), 室温孵育20分钟. |
| IF检测LRP1蛋白(货号 GB155473)(红色). 样品: 大鼠睾丸, 4%多聚甲醛 (货号G1101) 固定12-24小时. 抗原修复: 抗原修复仪(货号 ARI-4),Tris-EDTA抗原修复液(pH 9.0) (货号G1203), 水浴100℃, 25分钟. 封闭: 3% BSA(货号GC305010)的PBS溶液, 室温孵育30分钟. —抗: 1: 2000稀释, 4℃ 孵育过夜. 二抗: Cy3标记山羊抗兔IgG (H+L) (货号GB21303), 1: 300稀释, 室温孵育1小时. |
| IF检测LRP1蛋白(货号 GB155473)(红色). 样品: 人肾, 4%多聚甲醛 (货号G1101) 固定12-24小时. 抗原修复: 抗原修复仪(货号 ARI-4),Tris-EDTA抗原修复液(pH 9.0) (货号G1203), 水浴100℃, 25分钟. 封闭: 3% BSA(货号GC305010)的PBS溶液, 室温孵育30分钟. —抗: 1: 4000稀释, 4℃ 孵育过夜. 二抗: Cy3标记山羊抗兔IgG (H+L) (货号GB21303), 1: 300稀释, 室温孵育1小时. |
| IF检测LRP1蛋白(货号 GB155473)(红色). 样品: 人扁桃体, 4%多聚甲醛 (货号G1101) 固定12-24小时. 抗原修复: 抗原修复仪(货号 ARI-4),Tris-EDTA抗原修复液(pH 9.0) (货号G1203), 水浴100℃, 25分钟. 封闭: 3% BSA(货号GC305010)的PBS溶液, 室温孵育30分钟. —抗: 1: 4000稀释, 4℃ 孵育过夜. 二抗: Cy3标记山羊抗兔IgG (H+L) (货号GB21303), 1: 300稀释, 室温孵育1小时. |
| IF检测LRP1蛋白(货号 GB155473)(红色). 样品: 小鼠肾, 4%多聚甲醛 (货号G1101) 固定12-24小时. 抗原修复: 抗原修复仪(货号 ARI-4),Tris-EDTA抗原修复液(pH 9.0) (货号G1203), 水浴100℃, 25分钟. 封闭: 3% BSA(货号GC305010)的PBS溶液, 室温孵育30分钟. —抗: 1: 4000稀释, 4℃ 孵育过夜. 二抗: Cy3标记山羊抗兔IgG (H+L) (货号GB21303), 1: 300稀释, 室温孵育1小时. |
| IF检测LRP1蛋白(货号 GB155473)(红色). 样品: 小鼠肝, 4%多聚甲醛 (货号G1101) 固定12-24小时. 抗原修复: 抗原修复仪(货号 ARI-4),Tris-EDTA抗原修复液(pH 9.0) (货号G1203), 水浴100℃, 25分钟. 封闭: 3% BSA(货号GC305010)的PBS溶液, 室温孵育30分钟. —抗: 1: 4000稀释, 4℃ 孵育过夜. 二抗: Cy3标记山羊抗兔IgG (H+L) (货号GB21303), 1: 300稀释, 室温孵育1小时. |
| IF检测LRP1蛋白(货号 GB155473)(红色). 样品: 大鼠脑, 4%多聚甲醛 (货号G1101) 固定12-24小时. 抗原修复: 抗原修复仪(货号 ARI-4),Tris-EDTA抗原修复液(pH 9.0) (货号G1203), 水浴100℃, 25分钟. 封闭: 3% BSA(货号GC305010)的PBS溶液, 室温孵育30分钟. —抗: 1: 4000稀释, 4℃ 孵育过夜. 二抗: Cy3标记山羊抗兔IgG (H+L) (货号GB21303), 1: 300稀释, 室温孵育1小时. |
| IF检测LRP1蛋白(货号 GB155473)(红色). 样品: 大鼠肾, 4%多聚甲醛 (货号G1101) 固定12-24小时. 抗原修复: 抗原修复仪(货号 ARI-4),Tris-EDTA抗原修复液(pH 9.0) (货号G1203), 水浴100℃, 25分钟. 封闭: 3% BSA(货号GC305010)的PBS溶液, 室温孵育30分钟. —抗: 1: 4000稀释, 4℃ 孵育过夜. 二抗: Cy3标记山羊抗兔IgG (H+L) (货号GB21303), 1: 300稀释, 室温孵育1小时. |
| IF检测LRP1蛋白(货号 GB155473)(红色). 样品: 大鼠肝, 4%多聚甲醛 (货号G1101) 固定12-24小时. 抗原修复: 抗原修复仪(货号 ARI-4),Tris-EDTA抗原修复液(pH 9.0) (货号G1203), 水浴100℃, 25分钟. 封闭: 3% BSA(货号GC305010)的PBS溶液, 室温孵育30分钟. —抗: 1: 4000稀释, 4℃ 孵育过夜. 二抗: Cy3标记山羊抗兔IgG (H+L) (货号GB21303), 1: 300稀释, 室温孵育1小时. |
| IHC检测LRP1蛋白(货号 GB155473). 样品: 大鼠纤维化肝, 4%多聚甲醛 (货号G1101) 固定12-24小时. 抗原修复: 抗原修复仪(货号 ARI-4),Tris-EDTA抗原修复液(pH 9.0) (货号G1203), 水浴100℃, 25分钟. —抗: 1: 2000稀释, 4℃ 孵育过夜. 二抗: HRP标记山羊抗兔IgG (H+L) (货号GB23303), 1: 5000稀释, 室温孵育1小时. |
| IHC检测LRP1蛋白(货号 GB155473). 样品: 大鼠非酒精性脂肪性肝病, 4%多聚甲醛 (货号G1101) 固定12-24小时. 抗原修复: 抗原修复仪(货号 ARI-4),Tris-EDTA抗原修复液(pH 9.0) (货号G1203), 水浴100℃, 25分钟. —抗: 1: 2000稀释, 4℃ 孵育过夜. 二抗: HRP标记山羊抗兔IgG (H+L) (货号GB23303), 1: 5000稀释, 室温孵育1小时. |
| IHC检测LRP1蛋白(货号 GB155473). 样品: 大鼠肝, 4%多聚甲醛 (货号G1101) 固定12-24小时. 抗原修复: 抗原修复仪(货号 ARI-4),Tris-EDTA抗原修复液(pH 9.0) (货号G1203), 水浴100℃, 25分钟. —抗: 1: 2000稀释, 4℃ 孵育过夜. 二抗: HRP标记山羊抗兔IgG (H+L) (货号GB23303), 1: 5000稀释, 室温孵育1小时. |
储存
| 储存条件 | 在-20℃下储存一年, 避免反复冻融. |
| 储存缓冲液 | 含0.15% ProClin300防腐剂, 100 μg/mL牛血清白蛋白和50%甘油的磷酸盐缓冲液. |
注意:
1.本产品仅供研究使用.
2.建议用一抗稀释液(G2025)稀释本产品.
| 货号 | 名称 | 规格 | 价格 | 操作 |
|---|
| 货号 | 名称 | 规格 | 价格 | 操作 |
|---|





















