
Recombinant Anti-Carbonic Anhydrase 9/CA9 antibody (Rabbit mAb)
- 100 μL
产品信息
|
蛋白质全称 |
碳酸酐酶9 |
|
别名 |
CA IX, CA9, CAIX, Carbonate dehydratase IX, Carbonic anhydrase 9, carbonic anhydrase IX, G250, Membrane antigen MN, MN, P54/58N, pMW1, RCC associated antigen G250 |
|
Uniprot ID |
Q16790 |
|
免疫原 |
人Carbonic anhydrase9重组蛋白 |
|
抗体亚型 |
IgG, κ |
|
克隆号 |
SB26 |
|
纯化方式 |
亲和纯化 |
|
亚细胞定位 |
细胞膜, 细胞核, 细胞突起 |
应用
| 应用 | 物种 | 稀释 | 阳性样品 |
| IHC/IF 免疫组织化学/免疫荧光 | 人 | 1: 500-1: 1000 | 胃癌, 结肠癌 |
背景
Carbonic anhydrases (CAs) are a large family of zinc metalloenzymes that catalyze the reversible hydration of carbon dioxide. They participate in a variety of biological processes, including respiration, calcification, acid-base balance, bone resorption, and the formation of aqueous humor, cerebrospinal fluid, saliva, and gastric acid. They show extensive diversity in tissue distribution and in their subcellular localization. CA IX is a transmembrane protein and the only tumor-associated carbonic anhydrase isoenzyme known.
图像
|
|
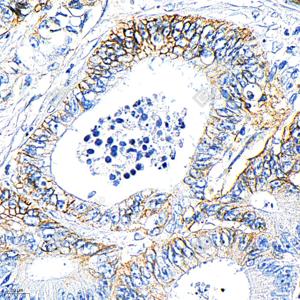
IHC检测Carbonic Anhydrase 9/CA9蛋白(货号 GB153899). 样品: 人结肠癌, 4%多聚甲醛 (货号G1101) 固定12-24小时. 抗原修复: 柠檬酸抗原修复液(干粉, pH 6.0) (G1201), 高压锅均匀喷气计时2分钟. —抗: 1: 1000稀释, 4℃ 孵育过夜. 二抗: HRP标记山羊抗兔IgG (H+L) (货号GB23303), 1: 200稀释, 室温孵育1小时. |
|
|
IHC检测Carbonic Anhydrase 9/CA9蛋白(货号 GB153899). 样品: 人胃癌, 4%多聚甲醛 (货号G1101) 固定12-24小时. 抗原修复: 柠檬酸抗原修复液(干粉, pH 6.0) (G1201), 高压锅均匀喷气计时2分钟. —抗: 1: 1000稀释, 4℃ 孵育过夜. 二抗: HRP标记山羊抗兔IgG (H+L) (货号GB23303), 1: 200稀释, 室温孵育1小时. |
储存
| 储存条件 | 在-20℃下储存一年, 避免反复冻融. |
| 储存缓冲液 | 含0.15% ProClin300防腐剂, 100 μg/mL牛血清白蛋白和50%甘油的磷酸盐缓冲液. |
注意:
1.本产品仅供研究使用.
2.建议用一抗稀释液(G2025)稀释本产品.
| 货号 | 名称 | 规格 | 价格 | 操作 |
|---|
| 货号 | 名称 | 规格 | 价格 | 操作 |
|---|

