
Anti-Cytokeratin 17 Rabbit pAb
- 100 μL
产品信息
|
蛋白质全称 |
I型细胞角蛋白17 |
|
别名 |
Cytokeratin-17, CK-17, Keratin-17, Krt1-17, Krt17, K17, keratin 17 epitope S1, PCHC1, PC2 |
|
Uniprot ID |
Q9QWL7 |
|
免疫原 |
KLH偶联的小鼠Cytokeratin 17合成肽 |
|
抗体亚型 |
IgG |
|
预测分子量./观测分子量. |
48 kDa / 48 kDa |
|
纯化方式 |
亲和纯化 |
|
亚细胞定位 |
细胞质 |
应用
| 应用 | 物种 | 稀释 | 阳性样品 |
| WB 免疫印迹 | 人, 小鼠 | 1: 500-1: 1000 | 肾, 胃, 脑 |
| IHC/IF 免疫组织化学/免疫荧光 | 人, 小鼠, 大鼠 | 1: 500-1: 2000 | 皮肤 |
背景
Type I keratin involved in the formation and maintenance of various skin appendages, specifically in determining shape and orientation of hair. Required for the correct growth of hair follicles, in particular for the persistence of the anagen (growth) state. Modulates the function of TNF-alpha in the specific context of hair cycling. Regulates protein synthesis and epithelial cell growth through binding to the adapter protein SFN and by stimulating Akt/mTOR pathway. Involved in tissue repair. May be a marker of basal cell differentiation in complex epithelia and therefore indicative of a certain type of epithelial "stem cells".
图像
|
|
WB检测Cytokeratin 17蛋白(货号 GB11363). 样品: 经RIPA裂解液(货号G2002)处理的蛋白质. 封闭: 3%脱脂牛奶(货号GC310001)溶于TBST溶液, 室温孵育1小时. —抗: 1: 1000稀释, 4℃ 孵育过夜. 二抗: HRP标记山羊抗兔IgG (H+L) (货号GB23303), 1: 5000稀释, 室温孵育1小时. |
|
|
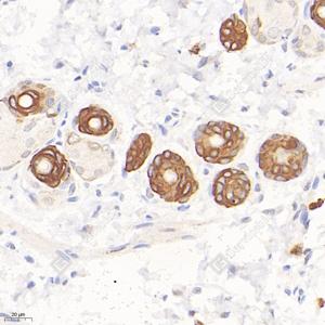
IHC检测Cytokeratin 17蛋白(货号 GB11363). 样品: 大鼠皮肤, 4%多聚甲醛 (货号G1101) 固定12-24小时. 抗原修复: 柠檬酸抗原修复液(干粉, pH 6.0) (G1201), 98℃, 20分钟. —抗: 1: 500稀释, 4℃ 孵育过夜. 二抗: HRP标记山羊抗兔IgG (H+L) (货号GB23303), 1: 200稀释, 室温孵育1小时. |
|
|
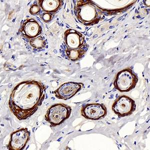
IHC检测Cytokeratin 17蛋白(货号 GB11363). 样品: 大鼠皮肤, 4%多聚甲醛 (货号G1101) 固定12-24小时. 抗原修复: 柠檬酸抗原修复液(干粉, pH 6.0) (G1201), 98℃, 20分钟. —抗: 1: 500稀释, 4℃ 孵育过夜. 二抗: HRP标记山羊抗兔IgG (H+L) (货号GB23303), 1: 200稀释, 室温孵育1小时. |
储存
| 储存条件 | 在-20℃下储存一年, 避免反复冻融. |
| 储存缓冲液 | 含0.15% ProClin300防腐剂, 100 μg/mL牛血清白蛋白和50%甘油的磷酸盐缓冲液. |
注意:
1.本产品仅供研究使用.
2.建议用一抗稀释液(G2025)稀释本产品.
| 货号 | 名称 | 规格 | 价格 | 操作 |
|---|
| 货号 | 名称 | 规格 | 价格 | 操作 |
|---|


