
Recombinant Anti-Caspase-7 antibody (Mouse mAb)
- 100 μL
产品信息
|
蛋白质全称 |
半胱天蛋白酶-7 |
|
别名 |
Apoptotic protease Mch 3, CASP-7, CASP7, Caspase 7, Caspase7, CMH-1, ICE-LAP3, ICE like apoptotic protease 3, MCH3 |
|
Uniprot ID |
P55210 |
|
免疫原 |
人Caspase-7重组蛋白 |
|
抗体亚型 |
IgG1, κ |
|
克隆号 |
SB66 |
|
预测分子量./观测分子量. |
34 kDa / 20/30/35 kDa |
|
纯化方式 |
亲和纯化 |
|
亚细胞定位 |
细胞质, 细胞核, 分泌型 |
应用
| 应用 | 物种 | 稀释 | 阳性样品 |
| WB 免疫印迹 | 人 | 1: 500-1: 2000 | Jurkat细胞 |
| IHC/IF 免疫组织化学/免疫荧光 | 人, 小鼠, 大鼠 | 1: 1000-1: 3000 | 结肠, 小肠 |
背景
Caspase 7(CASP7), like caspases 3 and 6, contains a short prodomain and, upon apoptotic induction, the 35 kDa proform is converted into a 30 kDa intermediate or preactive form which is further processed into two active subunits consisting of the p20 or large (18 kDa) subunit and the p10 or small (11 kDa) subunit and it is present in the brain, which is up-regulated and activated after traumatic injury. The protein is involved in the activation cascade of caspases responsible for apoptosis execution.
图像
|
|
WB检测Caspase-7蛋白(货号 GB15540). 样品: 经RIPA裂解液(货号G2002)处理的蛋白质. 封闭: 3%脱脂牛奶(货号GC310001)溶于TBST溶液, 室温孵育1小时. —抗: 1: 500稀释, 4℃ 孵育过夜. 二抗: HRP标记山羊抗小鼠IgG (H+L) (货号GB23301), 1: 5000稀释, 室温孵育1小时. |
|
|
IHC检测Caspase-7蛋白(货号 GB15540). 样品: 人结肠, 4%多聚甲醛 (货号G1101) 固定12-24小时. 抗原修复: 柠檬酸抗原修复液(干粉, pH 6.0) (G1201), 高压锅均匀喷气计时2分钟. —抗: 1: 1000稀释, 4℃ 孵育过夜. 二抗: HRP标记山羊抗小鼠IgG (H+L) (货号GB23301), 1: 200稀释, 室温孵育1小时. |
|
|
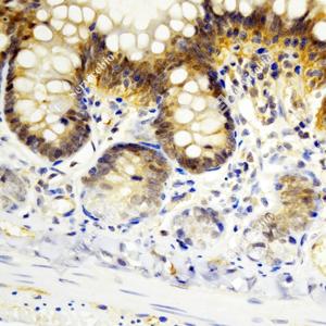
IHC检测Caspase-7蛋白(货号 GB15540). 样品: 小鼠小肠, 4%多聚甲醛 (货号G1101) 固定12-24小时. 抗原修复: 柠檬酸抗原修复液(干粉, pH 6.0) (G1201), 高压锅均匀喷气计时2分钟. —抗: 1: 1000稀释, 4℃ 孵育过夜. 二抗: HRP标记山羊抗小鼠IgG (H+L) (货号GB23301), 1: 200稀释, 室温孵育1小时. |
|
|
IHC检测Caspase-7蛋白(货号 GB15540). 样品: 大鼠小肠, 4%多聚甲醛 (货号G1101) 固定12-24小时. 抗原修复: 柠檬酸抗原修复液(干粉, pH 6.0) (G1201), 高压锅均匀喷气计时2分钟. —抗: 1: 1000稀释, 4℃ 孵育过夜. 二抗: HRP标记山羊抗小鼠IgG (H+L) (货号GB23301), 1: 200稀释, 室温孵育1小时. |
储存
| 储存条件 | 在-20℃下储存一年, 避免反复冻融. |
| 储存缓冲液 | 含0.15% ProClin300防腐剂, 100 μg/mL牛血清白蛋白和50%甘油的磷酸盐缓冲液. |
注意:
1.本产品仅供研究使用.
2.建议用一抗稀释液(G2025)稀释本产品.
| 货号 | 名称 | 规格 | 价格 | 操作 |
|---|
| 货号 | 名称 | 规格 | 价格 | 操作 |
|---|



