
Recombinant Anti-PIEZO1 antibody (Mouse mAb)
- 100 μL
产品信息
|
蛋白质全称 |
压电型机械敏感离子通道组件1 |
|
别名 |
FAM38A, KIAA0233, Piezo-type mechanosensitive ion channel component 1, Membrane protein induced by beta-amyloid treatment, Mib |
|
Uniprot ID |
Q92508 |
|
免疫原 |
人PIEZO1重组蛋白 |
|
抗体亚型 |
IgG2a, κ |
|
克隆号 |
SB335 |
|
预测分子量./观测分子量. |
287 kDa / 300-350 kDa |
|
纯化方式 |
亲和纯化 |
|
亚细胞定位 |
细胞膜, 细胞突起, 内质网 |
应用
| 应用 | 物种 | 稀释 | 阳性样品 |
| WB 免疫印迹 | 人 | 1: 500-1: 1000 | Capan-1, HeLa细胞, HepG2细胞 |
| IHC/IF 免疫组织化学/免疫荧光 | 人, 小鼠, 大鼠 | 1: 250-1: 1000 | 结肠癌, 肺, 小肠 |
背景
The protein encoded by this gene is a mechanically-activated ion channel that links mechanical forces to biological signals. The encoded protein contains 36 transmembrane domains and functions as a homotetramer. Defects in this gene have been associated with dehydrated hereditary stomatocytosis.
图像
|
|
WB检测PIEZO1蛋白(货号 GB150053). 样品: 经RIPA裂解液(货号G2002)处理的蛋白质. 封闭: 3%脱脂牛奶(货号GC310001)溶于TBST溶液, 室温孵育1小时. —抗: 1: 500稀释, 4℃ 孵育过夜. 二抗: HRP标记山羊抗小鼠IgG (H+L) (货号GB23301), 1: 5000稀释, 室温孵育1小时. |
|
|
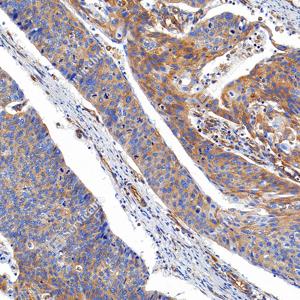
IHC检测PIEZO1蛋白(货号 GB150053). 样品: 人乳腺癌, 4%多聚甲醛 (货号G1101) 固定12-24小时. 抗原修复: Tris-EDTA抗原修复液(pH 9.0) (G1203), 98℃, 20分钟. —抗: 1: 250稀释, 4℃ 孵育过夜. 二抗: S-vision poly-HRP conjugated Goat Anti-Mouse lgG (H+L), Ready to use(G1301), RT, 20min. |
|
|
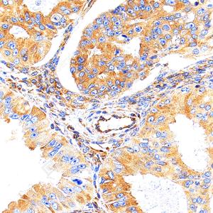
IHC检测PIEZO1蛋白(货号 GB150053). 样品: 人结肠癌, 4%多聚甲醛 (货号G1101) 固定12-24小时. 抗原修复: Tris-EDTA抗原修复液(pH 9.0) (G1203), 98℃, 20分钟. —抗: 1: 250稀释, 4℃ 孵育过夜. 二抗: S-vision poly-HRP conjugated Goat Anti-Mouse lgG (H+L), Ready to use(G1301), RT, 20min. |
|
|
IHC检测PIEZO1蛋白(货号 GB150053). 样品: 人子宫内膜癌, 4%多聚甲醛 (货号G1101) 固定12-24小时. 抗原修复: Tris-EDTA抗原修复液(pH 9.0) (G1203), 98℃, 20分钟. —抗: 1: 250稀释, 4℃ 孵育过夜. 二抗: S-vision poly-HRP conjugated Goat Anti-Mouse lgG (H+L), Ready to use(G1301), RT, 20min. |
|
|
IHC检测PIEZO1蛋白(货号 GB150053). 样品: 人食管癌, 4%多聚甲醛 (货号G1101) 固定12-24小时. 抗原修复: Tris-EDTA抗原修复液(pH 9.0) (G1203), 98℃, 20分钟. —抗: 1: 250稀释, 4℃ 孵育过夜. 二抗: S-vision poly-HRP conjugated Goat Anti-Mouse lgG (H+L), Ready to use(G1301), RT, 20min. |
|
|
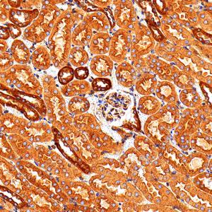
IHC检测PIEZO1蛋白(货号 GB150053). 样品: 人肾, 4%多聚甲醛 (货号G1101) 固定12-24小时. 抗原修复: Tris-EDTA抗原修复液(pH 9.0) (G1203), 98℃, 20分钟. —抗: 1: 250稀释, 4℃ 孵育过夜. 二抗: S-vision poly-HRP conjugated Goat Anti-Mouse lgG (H+L), Ready to use(G1301), RT, 20min. |
|
|
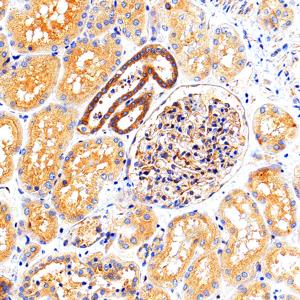
IHC检测PIEZO1蛋白(货号 GB150053). 样品: 小鼠肾, 4%多聚甲醛 (货号G1101) 固定12-24小时. 抗原修复: Tris-EDTA抗原修复液(pH 9.0) (G1203), 98℃, 20分钟. —抗: 1: 250稀释, 4℃ 孵育过夜. 二抗: S-vision poly-HRP conjugated Goat Anti-Mouse lgG (H+L), Ready to use(G1301), RT, 20min. |
|
|
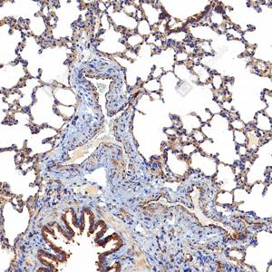
IHC检测PIEZO1蛋白(货号 GB150053). 样品: 大鼠肺, 4%多聚甲醛 (货号G1101) 固定12-24小时. 抗原修复: Tris-EDTA抗原修复液(pH 9.0) (G1203), 98℃, 20分钟. —抗: 1: 250稀释, 4℃ 孵育过夜. 二抗: S-vision poly-HRP conjugated Goat Anti-Mouse lgG (H+L), Ready to use(G1301), RT, 20min. |
|
|
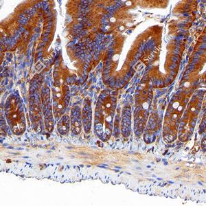
IHC检测PIEZO1蛋白(货号 GB150053). 样品: 大鼠小肠, 4%多聚甲醛 (货号G1101) 固定12-24小时. 抗原修复: Tris-EDTA抗原修复液(pH 9.0) (G1203), 98℃, 20分钟. —抗: 1: 250稀释, 4℃ 孵育过夜. 二抗: S-vision poly-HRP conjugated Goat Anti-Mouse lgG (H+L), Ready to use(G1301), RT, 20min. |
|
|
IHC检测PIEZO1蛋白(货号 GB150053). 样品: 人结肠癌, 4%多聚甲醛 (货号G1101) 固定12-24小时. 抗原修复: Tris-EDTA抗原修复液(pH 9.0) (G1203), 98℃, 20分钟. —抗: 1: 250稀释, 4℃ 孵育过夜. 二抗: S-vision poly-HRP conjugated Goat Anti-Mouse lgG (H+L), Ready to use(G1301), RT, 20min. |
|
|
IHC检测PIEZO1蛋白(货号 GB150053). 样品: 人食管癌, 4%多聚甲醛 (货号G1101) 固定12-24小时. 抗原修复: Tris-EDTA抗原修复液(pH 9.0) (G1203), 98℃, 20分钟. —抗: 1: 250稀释, 4℃ 孵育过夜. 二抗: S-vision poly-HRP conjugated Goat Anti-Mouse lgG (H+L), Ready to use(G1301), RT, 20min. |
|
|
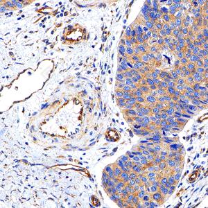
IHC检测PIEZO1蛋白(货号 GB150053). 样品: 人肾癌, 4%多聚甲醛 (货号G1101) 固定12-24小时. 抗原修复: Tris-EDTA抗原修复液(pH 9.0) (G1203), 98℃, 20分钟. —抗: 1: 250稀释, 4℃ 孵育过夜. 二抗: S-vision poly-HRP conjugated Goat Anti-Mouse lgG (H+L), Ready to use(G1301), RT, 20min. |
|
|
IHC检测PIEZO1蛋白(货号 GB150053). 样品: 小鼠结肠, 4%多聚甲醛 (货号G1101) 固定12-24小时. 抗原修复: Tris-EDTA抗原修复液(pH 9.0) (G1203), 98℃, 20分钟. —抗: 1: 250稀释, 4℃ 孵育过夜. 二抗: S-vision poly-HRP conjugated Goat Anti-Mouse lgG (H+L), Ready to use(G1301), RT, 20min. |
|
|
IHC检测PIEZO1蛋白(货号 GB150053). 样品: 大鼠肺, 4%多聚甲醛 (货号G1101) 固定12-24小时. 抗原修复: Tris-EDTA抗原修复液(pH 9.0) (G1203), 98℃, 20分钟. —抗: 1: 250稀释, 4℃ 孵育过夜. 二抗: S-vision poly-HRP conjugated Goat Anti-Mouse lgG (H+L), Ready to use(G1301), RT, 20min. |
|
|
IF检测PIEZO1蛋白(货号 GB150053)(红色). 样品: 人结肠癌, 4%多聚甲醛 (货号G1101) 固定12-24小时. 抗原修复: Tris-EDTA抗原修复液(pH 9.0) (G1203), 98℃, 20分钟. 封闭: 3% BSA(货号GC305010)的PBS溶液, 室温孵育30分钟. —抗: 1: 250稀释, 4℃ 孵育过夜. 二抗: Cy3标记山羊抗小鼠IgG (H+L) (货号GB21301), 1: 300稀释, 室温孵育1小时. |
|
|
IF检测PIEZO1蛋白(货号 GB150053)(红色). 样品: 人食管, 4%多聚甲醛 (货号G1101) 固定12-24小时. 抗原修复: Tris-EDTA抗原修复液(pH 9.0) (G1203), 98℃, 20分钟. 封闭: 3% BSA(货号GC305010)的PBS溶液, 室温孵育30分钟. —抗: 1: 250稀释, 4℃ 孵育过夜. 二抗: Cy3标记山羊抗小鼠IgG (H+L) (货号GB21301), 1: 300稀释, 室温孵育1小时. |
|
|
IF检测PIEZO1蛋白(货号 GB150053)(红色). 样品: 小鼠肾, 4%多聚甲醛 (货号G1101) 固定12-24小时. 抗原修复: Tris-EDTA抗原修复液(pH 9.0) (G1203), 98℃, 20分钟. 封闭: 3% BSA(货号GC305010)的PBS溶液, 室温孵育30分钟. —抗: 1: 250稀释, 4℃ 孵育过夜. 二抗: Cy3标记山羊抗小鼠IgG (H+L) (货号GB21301), 1: 300稀释, 室温孵育1小时. |
|
|
IF检测PIEZO1蛋白(货号 GB150053)(红色). 样品: 小鼠小肠, 4%多聚甲醛 (货号G1101) 固定12-24小时. 抗原修复: Tris-EDTA抗原修复液(pH 9.0) (G1203), 98℃, 20分钟. 封闭: 3% BSA(货号GC305010)的PBS溶液, 室温孵育30分钟. —抗: 1: 250稀释, 4℃ 孵育过夜. 二抗: Cy3标记山羊抗小鼠IgG (H+L) (货号GB21301), 1: 300稀释, 室温孵育1小时. |
|
|
IF检测PIEZO1蛋白(货号 GB150053)(红色). 样品: 大鼠脑, 4%多聚甲醛 (货号G1101) 固定12-24小时. 抗原修复: Tris-EDTA抗原修复液(pH 9.0) (G1203), 98℃, 20分钟. 封闭: 3% BSA(货号GC305010)的PBS溶液, 室温孵育30分钟. —抗: 1: 250稀释, 4℃ 孵育过夜. 二抗: Cy3标记山羊抗小鼠IgG (H+L) (货号GB21301), 1: 300稀释, 室温孵育1小时. |
|
|
IF检测PIEZO1蛋白(货号 GB150053)(红色). 样品: 大鼠肺, 4%多聚甲醛 (货号G1101) 固定12-24小时. 抗原修复: Tris-EDTA抗原修复液(pH 9.0) (G1203), 98℃, 20分钟. 封闭: 3% BSA(货号GC305010)的PBS溶液, 室温孵育30分钟. —抗: 1: 250稀释, 4℃ 孵育过夜. 二抗: Cy3标记山羊抗小鼠IgG (H+L) (货号GB21301), 1: 300稀释, 室温孵育1小时. |
|
|
IF检测PIEZO1蛋白(货号 GB150053)(红色). 样品: 大鼠肺, 4%多聚甲醛 (货号G1101) 固定12-24小时. 抗原修复: Tris-EDTA抗原修复液(pH 9.0) (G1203), 98℃, 20分钟. 封闭: 3% BSA(货号GC305010)的PBS溶液, 室温孵育30分钟. —抗: 1: 250稀释, 4℃ 孵育过夜. 二抗: Cy3标记山羊抗小鼠IgG (H+L) (货号GB21301), 1: 300稀释, 室温孵育1小时. |
储存
| 储存条件 | 在-20℃下储存一年, 避免反复冻融. |
| 储存缓冲液 | 含0.15% ProClin300防腐剂, 100 μg/mL牛血清白蛋白和50%甘油的磷酸盐缓冲液. |
注意:
1.本产品仅供研究使用.
2.建议用一抗稀释液(G2025)稀释本产品.
| 货号 | 名称 | 规格 | 价格 | 操作 |
|---|
| 货号 | 名称 | 规格 | 价格 | 操作 |
|---|




















