
Anti-Cyclin E1 Rabbit pAb
- 50 μL
产品信息
|
蛋白质全称 |
G1/S期特异性周期蛋白 E1 |
|
别名 |
CCNE1, CCNE, pcyclin E1, Cyclin E1 |
|
Uniprot ID |
Q61457 |
|
免疫原 |
KLH偶联的小鼠Cyclin E1合成肽 |
|
抗体亚型 |
IgG |
|
纯化方式 |
亲和纯化 |
|
亚细胞定位 |
细胞核 |
应用
| 应用 | 物种 | 稀释 | 阳性样品 |
| IHC/IF 免疫组织化学/免疫荧光 | 人, 小鼠, 大鼠 | 1: 1000-1: 2000 | 纤维腺瘤, 睾丸 |
背景
Cyclin E1 (CCNE1) is a member of the highly conserved cyclin family, whose members are characterized by a dramatic periodicity in protein abundance through the cell cycle. CCNE1, an essential cyclin activating Cdk2, regulates the G1-S phase transition of the mammalian cell division cycle. Its timing expression plays a direct role in the initiation of DNA replication , the control of histone biosynthesis, and the centrosome cycle. CCNE1 is associated with disease progression in various malignancies and is associated clinically with poor prognosis.
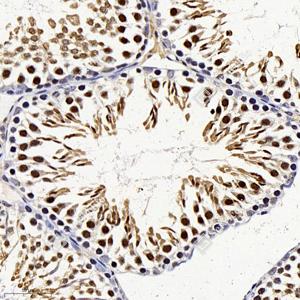
图像
|
|
IHC检测Cyclin E1蛋白(货号 GB11305). 样品: 人纤维性瘤, 4%多聚甲醛 (货号G1101) 固定12-24小时. 抗原修复: 柠檬酸抗原修复液(干粉, pH 6.0) (G1201), 98℃, 20分钟. —抗: 1: 1000稀释, 4℃ 孵育过夜. 二抗: HRP标记山羊抗兔IgG (H+L) (货号GB23303), 1: 200稀释, 室温孵育1小时. |
|
|
IHC检测Cyclin E1蛋白(货号 GB11305). 样品: 人睾丸, 4%多聚甲醛 (货号G1101) 固定12-24小时. 抗原修复: 柠檬酸抗原修复液(干粉, pH 6.0) (G1201), 98℃, 20分钟. —抗: 1: 1000稀释, 4℃ 孵育过夜. 二抗: HRP标记山羊抗兔IgG (H+L) (货号GB23303), 1: 200稀释, 室温孵育1小时. |
|
|
IHC检测Cyclin E1蛋白(货号 GB11305). 样品: 小鼠睾丸, 4%多聚甲醛 (货号G1101) 固定12-24小时. 抗原修复: 柠檬酸抗原修复液(干粉, pH 6.0) (G1201), 98℃, 20分钟. —抗: 1: 1000稀释, 4℃ 孵育过夜. 二抗: HRP标记山羊抗兔IgG (H+L) (货号GB23303), 1: 200稀释, 室温孵育1小时. |
|
|
IHC检测Cyclin E1蛋白(货号 GB11305). 样品: 大鼠睾丸, 4%多聚甲醛 (货号G1101) 固定12-24小时. 抗原修复: 柠檬酸抗原修复液(干粉, pH 6.0) (G1201), 98℃, 20分钟. —抗: 1: 1000稀释, 4℃ 孵育过夜. 二抗: HRP标记山羊抗兔IgG (H+L) (货号GB23303), 1: 200稀释, 室温孵育1小时. |
储存
| 储存条件 | 在-20℃下储存一年, 避免反复冻融. |
| 储存缓冲液 | 含0.15% ProClin300防腐剂, 100 μg/mL牛血清白蛋白和50%甘油的磷酸盐缓冲液. |
注意:
1.本产品仅供研究使用.
2.建议用一抗稀释液(G2025)稀释本产品.
| 货号 | 名称 | 规格 | 价格 | 操作 |
|---|
| 货号 | 名称 | 规格 | 价格 | 操作 |
|---|



