
Anti-TrkB Rabbit pAb
- 50 μL
产品信息
蛋白质全称 | BDNF/NT-3生长因子受体 |
别名 | NTRK2, GP145-TrkB, TRKB, trk-B, neurotrophic receptor tyrosine kinase 2, OBHD |
免疫原 | 小鼠TrkB重组蛋白 |
Uniprot ID | P15209 |
抗体亚型 | IgG |
纯化方式 | 亲和纯化 |
亚细胞定位 | 细胞膜, 内体膜, 早期内体膜, 细胞突起, 细胞质, 突触后密度 |
应用
| 应用 | 物种 | 稀释 | 阳性样品 |
| IHC/IF 免疫组织化学/免疫荧光 | 人, 小鼠, 大鼠 | 1: 500-1: 4000 | 脑, 脊髓 |
背景
Tropomyosin receptor kinase B is the high affinity catalytic receptor for several "neurotrophins", which are small protein growth factors that induce the survival and differentiation of distinct cell populations. The neurotrophins that activate TrkB are: BDNF (Brain Derived Neurotrophic Factor), neurotrophin-4 (NT-4), andneurotrophin-3 (NT-3). As such, TrkB mediates the multiple effects of these neurotrophic factors, which includes neuronal differentiation and survival. Research has shown that activation of the TrkB receptor can lead to down regulation of the KCC2 chloride transporter in cells of the CNS.
图像
| IHC检测TrkB蛋白(货号 GB11295-2). 样品: 人脑, 4%多聚甲醛 (货号G1101) 固定12-24小时. 抗原修复: 柠檬酸抗原修复液(干粉, pH 6.0) (G1201), 98℃, 20分钟. —抗: 1: 800稀释, 4℃ 孵育过夜. 二抗: HRP标记山羊抗兔IgG (H+L) (货号GB23303), 1: 200稀释, 室温孵育1小时. |
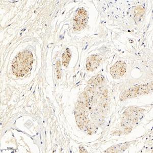
| IHC检测TrkB蛋白(货号 GB11295-2). 样品: 人神经鞘瘤, 4%多聚甲醛 (货号G1101) 固定12-24小时. 抗原修复: 柠檬酸抗原修复液(干粉, pH 6.0) (G1201), 98℃, 20分钟. —抗: 1: 800稀释, 4℃ 孵育过夜. 二抗: HRP标记山羊抗兔IgG (H+L) (货号GB23303), 1: 200稀释, 室温孵育1小时. |
| IHC检测TrkB蛋白(货号 GB11295-2). 样品: 人胃, 4%多聚甲醛 (货号G1101) 固定12-24小时. 抗原修复: 柠檬酸抗原修复液(干粉, pH 6.0) (G1201), 98℃, 20分钟. —抗: 1: 1000稀释, 4℃ 孵育过夜. 二抗: HRP标记山羊抗兔IgG (H+L) (货号GB23303), 1: 200稀释, 室温孵育1小时. |
储存
| 储存条件 | 在-20℃下储存一年, 避免反复冻融. |
| 储存缓冲液 | 含0.15% ProClin300防腐剂, 100 μg/mL牛血清白蛋白和50%甘油的磷酸盐缓冲液. |
注意:
1.本产品仅供研究使用.
2.建议用一抗稀释液(G2025)稀释本产品.
| 货号 | 名称 | 规格 | 价格 | 操作 |
|---|
| 货号 | 名称 | 规格 | 价格 | 操作 |
|---|


