
Anti-CD74 Rabbit pAb
- 100 μL
产品信息
|
蛋白质全称 |
H-2 II类组织相容性抗原γ链 |
|
别名 |
CD74, DHLAG, HLADG, Ia GAMMA, Ii, p33, CLIP, HLA-DR antigens-associated invariant chain, Ia antigen-associated invariant chain, MHC class II-associated invariant chain |
|
Uniprot ID |
P04441 |
|
免疫原 |
小鼠CD74重组蛋白 |
|
抗体亚型 |
IgG |
|
预测分子量./观测分子量. |
32 kDa / 30-45 kDa |
|
纯化方式 |
亲和纯化 |
|
亚细胞定位 |
细胞膜, 内体, 溶酶体, 高尔基体, 内质网 |
应用
| 应用 | 物种 | 稀释 | 阳性样品 |
| WB 免疫印迹 | 小鼠 | 1: 300-1: 600 | 脾, 淋巴结 |
| IHC/IF 免疫组织化学/免疫荧光 | 小鼠 | 1: 500-1: 1000 | 淋巴结, 脾, 抗原刺激脾 |
背景
CD74, also known as the MHC class II associated invariant chain (Ii), is a type II transmembrane protein which binds to the peptide binding groove of newly synthesized MHC class II alpha/beta heterodimers and prevents their premature association with endogenous polypeptides. CD74 is produced in molar excess over MHC class II and some of this is expressed by an unknown pathway on the cell surface independent of or in association with MHC class II molecules. The half life of CD74 on the cell surface is only 3 to 4 min after which it is internalized.
图像
|
|
WB检测CD74蛋白(货号 GB115175). 样品: 经RIPA裂解液(货号G2002)处理的蛋白质. 封闭: 3%脱脂牛奶(货号GC310001)溶于TBST溶液, 室温孵育1小时. —抗: 1: 300稀释, 4℃ 孵育过夜. 二抗: HRP标记山羊抗兔IgG (H+L) (货号GB23303), 1: 5000稀释, 室温孵育1小时. |
|
|
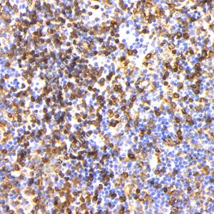
IHC检测CD74蛋白(货号 GB115175). 样品: 小鼠淋巴结, 4%多聚甲醛 (货号G1101) 固定12-24小时. 抗原修复: 柠檬酸抗原修复液(干粉, pH 6.0) (G1201), 98℃, 20分钟. —抗: 1: 500稀释, 4℃ 孵育过夜. 二抗: HRP标记山羊抗兔IgG (H+L) (货号GB23303), 1: 200稀释, 室温孵育1小时. |
|
|
IHC检测CD74蛋白(货号 GB115175). 样品: 小鼠脾, 4%多聚甲醛 (货号G1101) 固定12-24小时. 抗原修复: 柠檬酸抗原修复液(干粉, pH 6.0) (G1201), 98℃, 20分钟. —抗: 1: 500稀释, 4℃ 孵育过夜. 二抗: HRP标记山羊抗兔IgG (H+L) (货号GB23303), 1: 200稀释, 室温孵育1小时. |
|
|
IF analysis of CD74(GB115175)green. sample: Mouse model of antigen stimulation spleen, 4% PFA (G1101) 12-24h. Antigen retrieval: Tris-EDTA buffer (pH 9.0) (G1203), 98℃, 20min. Blocking buffer: 3% BSA in PBS (GC305010), RT, 30min. Primary antibody: CD20(GB11540) red 1: 3000, 4℃ overnight, iF555-TSA(G1233). CD74(GB115175) green 1: 500, 4℃ overnight.488 conjugated Goat Anti-Rabbit IgG (H+L) (GB25303), 1: 400, RT, 1h. |
|
|
IF analysis of CD74(GB115175)green. sample: Mouse lung injury, 4% PFA (G1101) 12-24h. Antigen retrieval: Tris-EDTA buffer (pH 9.0) (G1203), 98℃, 20min. Blocking buffer: 3% BSA in PBS (GC305010), RT, 30min. Primary antibody: CD20(GB11540) red 1: 3000, 4℃ overnight, iF555-TSA(G1233). CD74(GB115175) green 1: 500, 4℃ overnight.488 conjugated Goat Anti-Rabbit IgG (H+L) (GB25303), 1: 400, RT, 1h. |
储存
| 储存条件 | 在-20℃下储存一年, 避免反复冻融. |
| 储存缓冲液 | 含0.15% ProClin300防腐剂, 100 μg/mL牛血清白蛋白和50%甘油的磷酸盐缓冲液. |
注意:
1.本产品仅供研究使用.
2.建议用一抗稀释液(G2025)稀释本产品.
| 货号 | 名称 | 规格 | 价格 | 操作 |
|---|
| 货号 | 名称 | 规格 | 价格 | 操作 |
|---|




