
Anti-CD9 Rabbit pAb
- 100 μL
产品信息
|
蛋白质全称 |
CD9抗原 |
|
别名 |
5H9, 5H9 antigen, BA2, BTCC 1, CD9, CD9 antigen, CD9 molecule, Cell and organelle markers, DRAP 27, Exosome marker, GIG2, Leukocyte antigen MIC3, MIC3, Motility related protein, MRP 1, P24, Tetraspanin 29, Tspan 29, TSPAN29 |
|
Uniprot ID |
P21926 |
|
免疫原 |
KLH偶联的人CD9合成肽 |
|
抗体亚型 |
IgG |
|
预测分子量./观测分子量. |
25 kDa / 22-27 kDa |
|
纯化方式 |
亲和纯化 |
|
亚细胞定位 |
细胞膜, 分泌型, 囊泡, 细胞质 |
应用
| 应用 | 物种 | 稀释 | 阳性样品 |
| WB 免疫印迹 | 人 | 1: 500-1: 1000 | MCF7细胞, SW1990-exo |
| IHC/IF 免疫组织化学/免疫荧光 | 人 | 1: 500-1: 1000 | 食道癌, 扁桃体 |
背景
CD9 (CD9 Molecule) is a Protein Coding gene. Diseases associated with CD9 include Diphtheria and Human Immunodeficiency Virus Infectious Disease. Among its related pathways are Response to elevated platelet cytosolic Ca2+ and Uptake and actions of bacterial toxins. Gene Ontology (GO) annotations related to this gene include integrin binding. An important paralog of this gene is TSPAN2.
图像
|
|
WB检测CD9蛋白(货号 GB115697). 样品: 经RIPA裂解液(货号G2002)处理的蛋白质. 封闭: 3%脱脂牛奶(货号GC310001)溶于TBST溶液, 室温孵育1小时. —抗: 1: 500稀释, 4℃ 孵育过夜. 二抗: HRP标记山羊抗兔IgG (H+L) (货号GB23303), 1: 5000稀释, 室温孵育1小时. |
|
|
WB检测CD9蛋白(货号 GB115697). 样品: 经RIPA裂解液(货号G2002)处理的蛋白质. 封闭: 3%脱脂牛奶(货号GC310001)溶于TBST溶液, 室温孵育1小时. —抗: 1: 500稀释, 4℃ 孵育过夜. 二抗: HRP标记山羊抗兔IgG (H+L) (货号GB23303), 1: 5000稀释, 室温孵育1小时. |
|
|
WB检测CD9蛋白(货号 GB115697). 样品: 经RIPA裂解液(货号G2002)处理的蛋白质. 封闭: 3%脱脂牛奶(货号GC310001)溶于TBST溶液, 室温孵育1小时. —抗: 1: 1000稀释, 4℃ 孵育过夜. 二抗: HRP标记山羊抗兔IgG (H+L) (货号GB23303), 1: 5000稀释, 室温孵育1小时. |
|
|
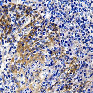
IHC检测CD9蛋白(货号 GB115697). 样品: 人子宫内膜癌, 4%多聚甲醛 (货号G1101) 固定12-24小时. 抗原修复: 柠檬酸抗原修复液(干粉, pH 6.0) (G1201), 98℃, 20分钟. —抗: 1: 500稀释, 4℃ 孵育过夜. 二抗: HRP标记山羊抗兔IgG (H+L) (货号GB23303), 1: 200稀释, 室温孵育1小时. |
|
|
IHC检测CD9蛋白(货号 GB115697). 样品: 人食管癌, 4%多聚甲醛 (货号G1101) 固定12-24小时. 抗原修复: 柠檬酸抗原修复液(干粉, pH 6.0) (G1201), 98℃, 20分钟. —抗: 1: 500稀释, 4℃ 孵育过夜. 二抗: HRP标记山羊抗兔IgG (H+L) (货号GB23303), 1: 200稀释, 室温孵育1小时. |
|
|
IHC检测CD9蛋白(货号 GB115697). 样品: 人扁桃体, 4%多聚甲醛 (货号G1101) 固定12-24小时. 抗原修复: 柠檬酸抗原修复液(干粉, pH 6.0) (G1201), 98℃, 20分钟. —抗: 1: 500稀释, 4℃ 孵育过夜. 二抗: HRP标记山羊抗兔IgG (H+L) (货号GB23303), 1: 200稀释, 室温孵育1小时. |
储存
| 储存条件 | 在-20℃下储存一年, 避免反复冻融. |
| 储存缓冲液 | 含0.15% ProClin300防腐剂, 100 μg/mL牛血清白蛋白和50%甘油的磷酸盐缓冲液. |
注意:
1.本产品仅供研究使用.
2.建议用一抗稀释液(G2025)稀释本产品.
| 货号 | 名称 | 规格 | 价格 | 操作 |
|---|
| 货号 | 名称 | 规格 | 价格 | 操作 |
|---|





