
Recombinant Anti-Granzyme B antibody (Mouse mAb)
- 50 μL
产品信息
|
蛋白质全称 |
颗粒酶B |
|
别名 |
CCPI, CGL 1, CGL1, CSP B, CSPB, CTLA1, CTSGL1, Endogenous granzyme B, Granzyme B, GZMB, HLP, SECT |
|
Uniprot ID |
P10144 |
|
免疫原 |
人重组Granzyme B protein在HEK293细胞中表达 |
|
抗体亚型 |
IgG1, κ |
|
克隆号 |
SB78 |
|
纯化方式 |
亲和纯化 |
|
亚细胞定位 |
分泌型, 胞质颗粒 |
应用
| 应用 | 物种 | 稀释 | 阳性样品 |
| IHC/IF 免疫组织化学/免疫荧光 | 大鼠 | 1: 500-1: 1000 | lps(6h)诱导肝脏炎症模型,抗原刺激肺模型 |
背景
Abundant protease in the cytosolic granules of cytotoxic T-cells and NK-cells which activates caspase-independent pyroptosis when delivered into the target cell through the immunological synapse. It cleaves after Asp. Once delivered into the target cell, acts by catalyzing cleavage of gasdermin-E (GSDME), releasing the pore-forming moiety of GSDME, thereby triggering pyroptosis and target cell death. Seems to be linked to an activation cascade of caspases (aspartate-specific cysteine proteases) responsible for apoptosis execution. Cleaves caspase-3, -7, -9 and 10 to give rise to active enzymes mediating apoptosis.
图像
|
|
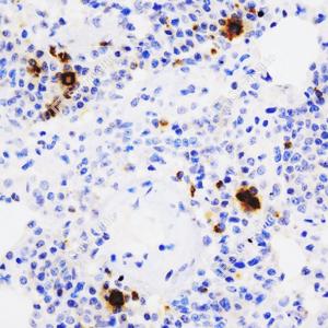
IHC检测Granzyme B蛋白(货号 GB15093). 样品: 大鼠LPS诱导(6h)肝脏炎症模型, 4%多聚甲醛 (货号G1101) 固定12-24小时. 抗原修复: 柠檬酸抗原修复液(干粉, pH 6.0) (G1201), 高压锅均匀喷气计时2分钟. —抗: 1: 500稀释, 4℃ 孵育过夜. 二抗: HRP标记山羊抗小鼠IgG (H+L) (货号GB23301), 1: 200稀释, 室温孵育1小时. |
|
|
IHC检测Granzyme B蛋白(货号 GB15093). 样品: 大鼠抗原刺激肺部模型, 4%多聚甲醛 (货号G1101) 固定12-24小时. 抗原修复: 柠檬酸抗原修复液(干粉, pH 6.0) (G1201), 高压锅均匀喷气计时2分钟. —抗: 1: 500稀释, 4℃ 孵育过夜. 二抗: HRP标记山羊抗小鼠IgG (H+L) (货号GB23301), 1: 200稀释, 室温孵育1小时. |
储存
| 储存条件 | 在-20℃下储存一年, 避免反复冻融. |
| 储存缓冲液 | 含0.15% ProClin300防腐剂, 100 μg/mL牛血清白蛋白和50%甘油的磷酸盐缓冲液. |
注意:
1.本产品仅供研究使用.
2.建议用一抗稀释液(G2025)稀释本产品.
| 货号 | 名称 | 规格 | 价格 | 操作 |
|---|
| 货号 | 名称 | 规格 | 价格 | 操作 |
|---|

