
Anti-UGT1A1 Rabbit pAb
- 100 μL
产品信息
|
蛋白质全称 |
UDP-葡糖醛酸转移酶1A1 |
|
别名 |
GNT1, HUG BR1, UDPGT, UDPGT 1 1, UGT 1A, UGT1, UGT1 01, UGT1*1, UGT1.1, UGT1A, UGT1A1 |
|
Uniprot ID |
Q63886 |
|
免疫原 |
KLH偶联的小鼠UGT1A1合成肽 |
|
抗体亚型 |
IgG |
|
纯化方式 |
亲和纯化 |
|
亚细胞定位 |
内质网膜 |
应用
| 应用 | 物种 | 稀释 | 阳性样品 |
| IHC/IF 免疫组织化学/免疫荧光 | 人 | 1: 300-1: 900 | 恶性肿瘤, 结肠癌 |
背景
UDP-glucuronosyltransferase (UGT) that catalyzes phase II biotransformation reactions in which lipophilic substrates are conjugated with glucuronic acid to increase the metabolite's water solubility, thereby facilitating excretion into either the urine or bile. Essential for the elimination and detoxification of drugs, xenobiotics and endogenous compounds. Catalyzes the glucuronidation of endogenous estrogen hormones such as estradiol, estrone and estriol. Involved in the glucuronidation of bilirubin, a degradation product occurring in the normal catabolic pathway that breaks down heme in vertebrates. Involved in the glucuronidation of arachidonic acid (AA) and AA-derived eicosanoids including 15-HETE, 20-HETE, PGB1 and F2-isoprostane (8-iso-PGF2alpha).
图像
|
|
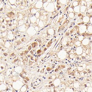
IHC检测UGT1A1蛋白(货号 GB114838). 样品: 人肝癌, 4%多聚甲醛 (货号G1101) 固定12-24小时. 抗原修复: 柠檬酸抗原修复液(干粉, pH 6.0) (G1201), 98℃, 20分钟. —抗: 1: 300稀释, 4℃ 孵育过夜. 二抗: HRP标记山羊抗兔IgG (H+L) (货号GB23303), 1: 200稀释, 室温孵育1小时. |
|
|
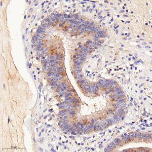
IHC检测UGT1A1蛋白(货号 GB114838). 样品: 人结肠癌, 4%多聚甲醛 (货号G1101) 固定12-24小时. 抗原修复: 柠檬酸抗原修复液(干粉, pH 6.0) (G1201), 98℃, 20分钟. —抗: 1: 300稀释, 4℃ 孵育过夜. 二抗: HRP标记山羊抗兔IgG (H+L) (货号GB23303), 1: 200稀释, 室温孵育1小时. |
储存
| 储存条件 | 在-20℃下储存一年, 避免反复冻融. |
| 储存缓冲液 | 含0.15% ProClin300防腐剂, 100 μg/mL牛血清白蛋白和50%甘油的磷酸盐缓冲液. |
注意:
1.本产品仅供研究使用.
2.建议用一抗稀释液(G2025)稀释本产品.
| 货号 | 名称 | 规格 | 价格 | 操作 |
|---|
| 货号 | 名称 | 规格 | 价格 | 操作 |
|---|

