
Anti-MANEA Rabbit pAb
- 100 μL
产品信息
|
蛋白质全称 |
糖蛋白内切-α-1,2-甘露糖苷酶 |
|
别名 |
ENDO, Endo alpha mannosidase, Endomannosidase, hEndo, Mandaselin, MANEA, mannosidase, endo alpha |
|
Uniprot ID |
Q6NXH2 |
|
免疫原 |
小鼠MANEA重组蛋白 |
|
抗体亚型 |
IgG |
|
纯化方式 |
亲和纯化 |
|
亚细胞定位 |
高尔基体膜 |
应用
| 应用 | 物种 | 稀释 | 阳性样品 |
| IHC/IF 免疫组织化学/免疫荧光 | 人 | 1: 1200-1: 2400 | 扁桃体, 胎盘 |
背景
N-glycosylation of proteins is initiated in the endoplasmic reticulum (ER) by the transfer of the preassembled oligosaccharide glucose-3-mannose-9-N-acetylglucosamine-2 from dolichyl pyrophosphate to acceptor sites on the target protein by an oligosaccharyltransferase complex. This core oligosaccharide is sequentially processed by several ER glycosidases and by an endomannosidase (E.C. 3.2.1.130), such as MANEA, in the Golgi.
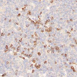
图像
|
|
IHC检测MANEA蛋白(货号 GB114171). 样品: 人扁桃体, 4%多聚甲醛 (货号G1101) 固定12-24小时. 抗原修复: 柠檬酸抗原修复液(干粉, pH 6.0) (G1201), 98℃, 20分钟. —抗: 1: 2400稀释, 4℃ 孵育过夜. 二抗: HRP标记山羊抗兔IgG (H+L) (货号GB23303), 1: 200稀释, 室温孵育1小时. |
|
|
IHC检测MANEA蛋白(货号 GB114171). 样品: 人胎盘, 4%多聚甲醛 (货号G1101) 固定12-24小时. 抗原修复: 柠檬酸抗原修复液(干粉, pH 6.0) (G1201), 98℃, 20分钟. —抗: 1: 1200稀释, 4℃ 孵育过夜. 二抗: HRP标记山羊抗兔IgG (H+L) (货号GB23303), 1: 200稀释, 室温孵育1小时. |
|
|
IF检测MANEA蛋白(货号 GB114171)(红色). 样品: 人扁桃体, 4%多聚甲醛 (货号G1101) 固定12-24小时. 抗原修复: Tris-EDTA抗原修复液(pH 9.0) (G1203), 98℃, 20分钟. 封闭: 3% BSA(货号GC305010)的PBS溶液, 室温孵育30分钟. —抗: 1: 1200稀释, 4℃ 孵育过夜. 二抗: Cy3标记山羊抗兔IgG (H+L) (货号GB21303), 1: 300稀释, 室温孵育1小时. |
储存
| 储存条件 | 在-20℃下储存一年, 避免反复冻融. |
| 储存缓冲液 | 含0.15% ProClin300防腐剂, 100 μg/mL牛血清白蛋白和50%甘油的磷酸盐缓冲液. |
注意:
1.本产品仅供研究使用.
2.建议用一抗稀释液(G2025)稀释本产品.
| 货号 | 名称 | 规格 | 价格 | 操作 |
|---|
| 货号 | 名称 | 规格 | 价格 | 操作 |
|---|


