
Anti-ATP5G3 Rabbit pAb
- 100 μL
产品信息
|
蛋白质全称 |
ATP合酶F0复合体C3亚基(线粒体) |
|
别名 |
ATP synthase lipid-binding protein, ATPase protein 9, ATPase subunit c, Atp5mc3, Atp5g3, ATP synthase membrane subunit c locus 3 |
|
Uniprot ID |
P56384 |
|
免疫原 |
KLH偶联的小鼠ATP5G3合成肽 |
|
抗体亚型 |
IgG |
|
纯化方式 |
亲和纯化 |
|
亚细胞定位 |
线粒体 |
应用
| 应用 | 物种 | 稀释 | 阳性样品 |
| IHC/IF 免疫组织化学/免疫荧光 | 小鼠 | 1: 700-1: 1400 | 肾 |
背景
Mitochondrial membrane ATP synthase (F1F0 ATP synthase or Complex V) produces ATP from ADP in the presence of a proton gradient across the membrane which is generated by electron transport complexes of the respiratory chain. F-type ATPases consist of two structural domains, F1 - containing the extramembraneous catalytic core and F0 - containing the membrane proton channel, linked together by a central stalk and a peripheral stalk.
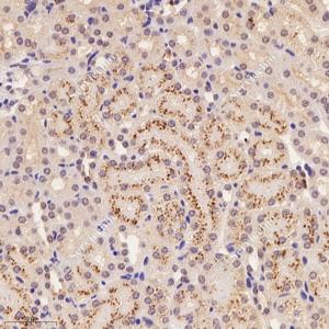
图像
|
|
IHC检测ATP5G3蛋白(货号 GB113340). 样品: 小鼠肾, 4%多聚甲醛 (货号G1101) 固定12-24小时. 抗原修复: 柠檬酸抗原修复液(干粉, pH 6.0) (G1201), 98℃, 20分钟. —抗: 1: 700稀释, 4℃ 孵育过夜. 二抗: HRP标记山羊抗兔IgG (H+L) (货号GB23303), 1: 200稀释, 室温孵育1小时. |
储存
| 储存条件 | 在-20℃下储存一年, 避免反复冻融. |
| 储存缓冲液 | 含0.15% ProClin300防腐剂, 100 μg/mL牛血清白蛋白和50%甘油的磷酸盐缓冲液. |
注意:
1.本产品仅供研究使用.
2.建议用一抗稀释液(G2025)稀释本产品.
| 货号 | 名称 | 规格 | 价格 | 操作 |
|---|
| 货号 | 名称 | 规格 | 价格 | 操作 |
|---|
