
Anti-AK 1 Rabbit pAb
- 50 μL
产品信息
|
蛋白质全称 |
腺苷酸激酶同工酶1 |
|
别名 |
adenylate kinase 1, AK 1, AK1, ATP AMP transphosphorylase 1, Myokinase |
|
Uniprot ID |
Q9R0Y5 |
|
免疫原 |
小鼠AK 1重组蛋白 |
|
抗体亚型 |
IgG |
|
预测分子量./观测分子量. |
22 kDa / 22 kDa |
|
纯化方式 |
亲和纯化 |
|
亚细胞定位 |
细胞质 |
应用
| 应用 | 物种 | 稀释 | 阳性样品 |
| WB 免疫印迹 | 小鼠, 大鼠 | 1: 1000-1: 3000 | 心, 骨骼肌 |
| IHC/IF 免疫组织化学/免疫荧光 | 人, 小鼠 | 1: 2000-1: 4000 | 肾 |
背景
This gene encodes an adenylate kinase enzyme involved in energy metabolism and homeostasis of cellular adenine nucleotide ratios in different intracellular compartments. This gene is highly expressed in skeletal muscle, brain and erythrocytes. Certain mutations in this gene resulting in a functionally inadequate enzyme are associated with a rare genetic disorder causing nonspherocytic hemolytic anemia. Alternative splicing of this gene results in multiple transcript variants encoding different isoforms.
图像
|
|
WB检测AK 1蛋白(货号 GB113147). 样品: 经RIPA裂解液(货号G2002)处理的蛋白质. 封闭: 3%脱脂牛奶(货号GC310001)溶于TBST溶液, 室温孵育1小时. —抗: 1: 3000稀释, 4℃ 孵育过夜. 二抗: HRP标记山羊抗兔IgG (H+L) (货号GB23303), 1: 5000稀释, 室温孵育1小时. |
|
|
WB检测AK 1蛋白(货号 GB113147). 样品: 经RIPA裂解液(货号G2002)处理的蛋白质. 封闭: 3%脱脂牛奶(货号GC310001)溶于TBST溶液, 室温孵育1小时. —抗: 1: 3000稀释, 4℃ 孵育过夜. 二抗: HRP标记山羊抗兔IgG (H+L) (货号GB23303), 1: 5000稀释, 室温孵育1小时. |
|
|
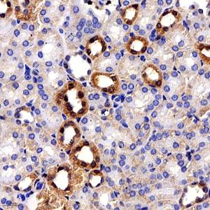
IHC检测AK 1蛋白(货号 GB113147). 样品: 小鼠肾, 4%多聚甲醛 (货号G1101) 固定12-24小时. 抗原修复: 柠檬酸抗原修复液(干粉, pH 6.0) (G1201), 98℃, 20分钟. —抗: 1: 4000稀释, 4℃ 孵育过夜. 二抗: HRP标记山羊抗兔IgG (H+L) (货号GB23303), 1: 200稀释, 室温孵育1小时. |
|
|
IHC检测AK 1蛋白(货号 GB113147). 样品: 人肾, 4%多聚甲醛 (货号G1101) 固定12-24小时. 抗原修复: 柠檬酸抗原修复液(干粉, pH 6.0) (G1201), 98℃, 20分钟. —抗: 1: 4000稀释, 4℃ 孵育过夜. 二抗: HRP标记山羊抗兔IgG (H+L) (货号GB23303), 1: 200稀释, 室温孵育1小时. |
储存
| 储存条件 | 在-20℃下储存一年, 避免反复冻融. |
| 储存缓冲液 | 含0.15% ProClin300防腐剂, 100 μg/mL牛血清白蛋白和50%甘油的磷酸盐缓冲液. |
注意:
1.本产品仅供研究使用.
2.建议用一抗稀释液(G2025)稀释本产品.
| 货号 | 名称 | 规格 | 价格 | 操作 |
|---|
| 货号 | 名称 | 规格 | 价格 | 操作 |
|---|



