
Anti-AC5 Rabbit pAb
- 100 μL
产品信息
|
蛋白质全称 |
腺苷酸环化酶5型 |
|
别名 |
Adenylate cyclase type V, Adenylyl cyclase 5, Adcy5, AC5, ATP pyrophosphate-lyase 5 |
|
Uniprot ID |
P84309 |
|
免疫原 |
小鼠AC5重组蛋白 |
|
抗体亚型 |
IgG |
|
纯化方式 |
亲和纯化 |
|
亚细胞定位 |
细胞膜 |
应用
| 应用 | 物种 | 稀释 | 阳性样品 |
| IHC/IF 免疫组织化学/免疫荧光 | 小鼠, 大鼠 | 1: 500-1: 1500 | 胎盘 |
背景
This gene encodes a member of the membrane-bound adenylyl cyclase enzymes. Adenylyl cyclases mediate G protein-coupled receptor signaling through the synthesis of the second messenger cAMP. Activity of the encoded protein is stimulated by the Gs alpha subunit of G protein-coupled receptors and is inhibited by protein kinase A, calcium and Gi alpha subunits. Single nucleotide polymorphisms in this gene may be associated with low birth weight and type 2 diabetes.
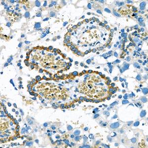
图像
|
|
IHC检测AC5蛋白(货号 GB111863). 样品: 小鼠胎盘, 4%多聚甲醛 (货号G1101) 固定12-24小时. 抗原修复: 柠檬酸抗原修复液(干粉, pH 6.0) (G1201), 98℃, 20分钟. —抗: 1: 900稀释, 4℃ 孵育过夜. 二抗: HRP标记山羊抗兔IgG (H+L) (货号GB23303), 1: 200稀释, 室温孵育1小时. |
|
|
IHC检测AC5蛋白(货号 GB111863). 样品: 大鼠胎盘, 4%多聚甲醛 (货号G1101) 固定12-24小时. 抗原修复: 柠檬酸抗原修复液(干粉, pH 6.0) (G1201), 98℃, 20分钟. —抗: 1: 900稀释, 4℃ 孵育过夜. 二抗: HRP标记山羊抗兔IgG (H+L) (货号GB23303), 1: 200稀释, 室温孵育1小时. |
储存
| 储存条件 | 在-20℃下储存一年, 避免反复冻融. |
| 储存缓冲液 | 含0.15% ProClin300防腐剂, 100 μg/mL牛血清白蛋白和50%甘油的磷酸盐缓冲液. |
注意:
1.本产品仅供研究使用.
2.建议用一抗稀释液(G2025)稀释本产品.
| 货号 | 名称 | 规格 | 价格 | 操作 |
|---|
| 货号 | 名称 | 规格 | 价格 | 操作 |
|---|

