
Anti-Transferrin Receptor 2/TFR2 Rabbit pAb
- 50 μL
产品信息
|
蛋白质全称 |
转铁蛋白受体2 |
|
别名 |
TfR2, Trfr2, HFE3, TFRC2, Transferrin receptor 2 |
|
Uniprot ID |
Q9JKX3 |
|
免疫原 |
KLH偶联的小鼠Transferrin Receptor 2/TFR2合成肽 |
|
抗体亚型 |
IgG |
|
纯化方式 |
亲和纯化 |
|
亚细胞定位 |
细胞膜, 细胞质 |
应用
| 应用 | 物种 | 稀释 | 阳性样品 |
| IHC/IF 免疫组织化学/免疫荧光 | 人, 小鼠 | 1: 200-1: 400 | 肝 |
背景
This gene encodes a single-pass type II membrane protein, which is a member of the transferrin receptor-like family. This protein mediates cellular uptake of transferrin-bound iron, and may be involved in iron metabolism, hepatocyte function and erythrocyte differentiation. Mutations in this gene have been associated with hereditary hemochromatosis type III. Alternatively spliced transcript variants encoding different isoforms have been described for this gene.
图像
|
|
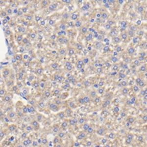
IHC检测Transferrin Receptor 2/TFR2蛋白(货号 GB113731). 样品: 人肝, 4%多聚甲醛 (货号G1101) 固定12-24小时. 抗原修复: 柠檬酸抗原修复液(干粉, pH 6.0) (G1201), 98℃, 20分钟. —抗: 1: 200稀释, 4℃ 孵育过夜. 二抗: HRP标记山羊抗兔IgG (H+L) (货号GB23303), 1: 200稀释, 室温孵育1小时. |
|
|
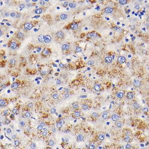
IHC检测Transferrin Receptor 2/TFR2蛋白(货号 GB113731). 样品: 小鼠肝, 4%多聚甲醛 (货号G1101) 固定12-24小时. 抗原修复: 柠檬酸抗原修复液(干粉, pH 6.0) (G1201), 98℃, 20分钟. —抗: 1: 200稀释, 4℃ 孵育过夜. 二抗: HRP标记山羊抗兔IgG (H+L) (货号GB23303), 1: 200稀释, 室温孵育1小时. |
储存
| 储存条件 | 在-20℃下储存一年, 避免反复冻融. |
| 储存缓冲液 | 含0.15% ProClin300防腐剂, 100 μg/mL牛血清白蛋白和50%甘油的磷酸盐缓冲液. |
注意:
1.本产品仅供研究使用.
2.建议用一抗稀释液(G2025)稀释本产品.
| 货号 | 名称 | 规格 | 价格 | 操作 |
|---|
| 货号 | 名称 | 规格 | 价格 | 操作 |
|---|

