
Anti-GPAT-3 Rabbit pAb
- 50 μL
产品信息
|
蛋白质全称 |
甘油-3-磷酸酰基转移酶3 |
|
别名 |
1 AGP acyltransferase 9, 1 AGPAT 9, AGPAT8, AGPAT9, GPAT 3, GPAT3, hGPAT3, HMFN0839, LPAAT theta, MAG 1, MAG1, UNQ2753/PRO6492 |
|
Uniprot ID |
Q8C0N2 |
|
免疫原 |
KLH偶联的小鼠GPAT-3合成肽 |
|
抗体亚型 |
IgG |
|
纯化方式 |
亲和纯化 |
|
亚细胞定位 |
内质网膜 |
应用
| 应用 | 物种 | 稀释 | 阳性样品 |
| IHC/IF 免疫组织化学/免疫荧光 | 人, 小鼠 | 1: 800-1: 2400 | 肝癌, 肾 |
背景
Converts glycerol-3-phosphate to 1-acyl-sn-glycerol-3-phosphate (lysophosphatidic acid or LPA) by incorporating an acyl moiety at the sn-1 position of the glycerol backbone . Also converts LPA into 1,2-diacyl-sn-glycerol-3-phosphate (phosphatidic acid or PA) by incorporating an acyl moiety at the sn-2 position of the glycerol backbone (By similarity).
图像
|
|
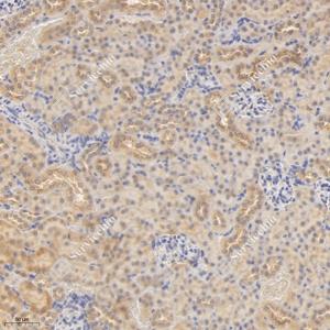
IHC检测GPAT-3蛋白(货号 GB115183). 样品: 人肾, 4%多聚甲醛 (货号G1101) 固定12-24小时. 抗原修复: Tris-EDTA抗原修复液(pH 9.0) (G1203), 98℃, 20分钟. —抗: 1: 800稀释, 4℃ 孵育过夜. 二抗: HRP标记山羊抗兔IgG (H+L) (货号GB23303), 1: 200稀释, 室温孵育1小时. |
|
|
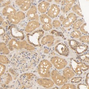
IHC检测GPAT-3蛋白(货号 GB115183). 样品: 小鼠肾, 4%多聚甲醛 (货号G1101) 固定12-24小时. 抗原修复: Tris-EDTA抗原修复液(pH 9.0) (G1203), 98℃, 20分钟. —抗: 1: 800稀释, 4℃ 孵育过夜. 二抗: HRP标记山羊抗兔IgG (H+L) (货号GB23303), 1: 200稀释, 室温孵育1小时. |
|
|
IHC检测GPAT-3蛋白(货号 GB115183). 样品: 小鼠肾, 4%多聚甲醛 (货号G1101) 固定12-24小时. 抗原修复: Tris-EDTA抗原修复液(pH 9.0) (G1203), 98℃, 20分钟. —抗: 1: 800稀释, 4℃ 孵育过夜. 二抗: HRP标记山羊抗兔IgG (H+L) (货号GB23303), 1: 200稀释, 室温孵育1小时. |
储存
| 储存条件 | 在-20℃下储存一年, 避免反复冻融. |
| 储存缓冲液 | 含0.15% ProClin300防腐剂, 100 μg/mL牛血清白蛋白和50%甘油的磷酸盐缓冲液. |
注意:
1.本产品仅供研究使用.
2.建议用一抗稀释液(G2025)稀释本产品.
| 货号 | 名称 | 规格 | 价格 | 操作 |
|---|
| 货号 | 名称 | 规格 | 价格 | 操作 |
|---|


