
Anti-Carbonic Anhydrase 1/CA1 Rabbit pAb
- 50 μL
产品信息
|
蛋白质全称 |
碳酸酐酶1 |
|
别名 |
CA-I, CA1, CAB, Car1, Carbonate dehydratase I, Carbonic anhydrase 1, Carbonic anhydrase B, carbonic anhydrase I |
|
Uniprot ID |
P13634 |
|
免疫原 |
小鼠CA1重组蛋白 |
|
抗体亚型 |
IgG |
|
预测分子量./观测分子量. |
28 kDa / 28 kDa |
|
纯化方式 |
亲和纯化 |
|
亚细胞定位 |
细胞质 |
应用
| 应用 | 物种 | 稀释 | 阳性样品 |
| WB 免疫印迹 | 小鼠, 大鼠 | 1: 1000-1: 2000 | 脑, 肝, 脾 |
| IHC/IF 免疫组织化学/免疫荧光 | 小鼠, 大鼠 | 1: 800-1: 1600 | 结肠 |
背景
CA1(Carbonic anhydrase 1) is also named as CAB and belongs to the alpha-carbonic anhydrase family, which may reside in cytoplasm, in mitochondria, or in secretory granules, or associate with membranes in cell. It forms a large family of genes encoding zinc metalloenzymes of great physiologic importance. Extracellular CA1 mediates hemorrhagic retinal and cerebral vascular permeability through prekallikrein activation .
图像
|
|
WB检测Carbonic Anhydrase 1/CA1蛋白(货号 GB113529). 样品: 经RIPA裂解液(货号G2002)处理的蛋白质. 封闭: 3%脱脂牛奶(货号GC310001)溶于TBST溶液, 室温孵育1小时. —抗: 1: 2000稀释, 4℃ 孵育过夜. 二抗: HRP标记山羊抗兔IgG (H+L) (货号GB23303), 1: 5000稀释, 室温孵育1小时. |
|
|
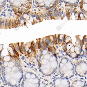
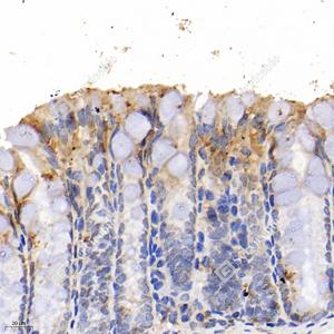
IHC检测Carbonic Anhydrase 1/CA1蛋白(货号 GB113529). 样品: 小鼠结肠, 4%多聚甲醛 (货号G1101) 固定12-24小时. 抗原修复: 柠檬酸抗原修复液(干粉, pH 6.0) (G1201), 98℃, 20分钟. —抗: 1: 1000稀释, 4℃ 孵育过夜. 二抗: HRP标记山羊抗兔IgG (H+L) (货号GB23303), 1: 200稀释, 室温孵育1小时. |
|
|
IHC检测Carbonic Anhydrase 1/CA1蛋白(货号 GB113529). 样品: 大鼠结肠, 4%多聚甲醛 (货号G1101) 固定12-24小时. 抗原修复: 柠檬酸抗原修复液(干粉, pH 6.0) (G1201), 98℃, 20分钟. —抗: 1: 1000稀释, 4℃ 孵育过夜. 二抗: HRP标记山羊抗兔IgG (H+L) (货号GB23303), 1: 200稀释, 室温孵育1小时. |
储存
| 储存条件 | 在-20℃下储存一年, 避免反复冻融. |
| 储存缓冲液 | 含0.15% ProClin300防腐剂, 100 μg/mL牛血清白蛋白和50%甘油的磷酸盐缓冲液. |
注意:
1.本产品仅供研究使用.
2.建议用一抗稀释液(G2025)稀释本产品.
| 货号 | 名称 | 规格 | 价格 | 操作 |
|---|
| 货号 | 名称 | 规格 | 价格 | 操作 |
|---|


