
Anti-SLC4A4/NBC Rabbit pAb
- 50 μL
产品信息
|
蛋白质全称 |
电导钠碳酸氢盐共转运体 |
|
别名 |
Sodium bicarbonate cotransporter, Na(+)/HCO3(-) cotransporter, Solute carrier family 4 member 4, Slc4a4, Nbc1, Nbce1 |
|
Uniprot ID |
Q9JI66 |
|
免疫原 |
KLH偶联的小鼠SLC4A4合成肽 |
|
抗体亚型 |
IgG |
|
纯化方式 |
亲和纯化 |
|
亚细胞定位 |
细胞膜 |
应用
| 应用 | 物种 | 稀释 | 阳性样品 |
| IHC/IF 免疫组织化学/免疫荧光 | 小鼠, 大鼠 | 1: 1800-1: 3600 | 肾 |
背景
SLC4A4 (Electrogenic sodium bicarbonate cotransporter 1) is an electrogenic sodium/bicarbonate cotransporter with a Na(+):HCO3(-) stoichiometry varying from 1:2 to 1:3. It may regulate bicarbonate influx/efflux at the basolateral membrane of cells and regulate intracellular pH. SLC4A4 interacts with carbonic anhydrase 2 and carbonic anhydrase 4 which may regulate transporter activity. There are four named isoforms produced by alternative splicing.This gene encodes a sodium bicarbonate cotransporter (NBC) involved in the regulation of bicarbonate secretion and absorption and intracellular pH. Mutations in this gene are associated with proximal renal tubular acidosis.
图像
|
|
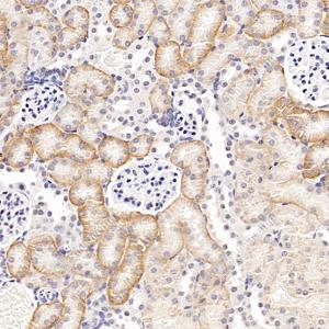
IHC检测SLC4A4/NBC蛋白(货号 GB112530). 样品: 小鼠肾, 4%多聚甲醛 (货号G1101) 固定12-24小时. 抗原修复: Tris-EDTA抗原修复液(pH 9.0) (G1203), 98℃, 20分钟. —抗: 1: 3600稀释, 4℃ 孵育过夜. 二抗: HRP标记山羊抗兔IgG (H+L) (货号GB23303), 1: 200稀释, 室温孵育1小时. |
|
|
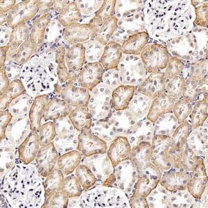
IHC检测SLC4A4/NBC蛋白(货号 GB112530). 样品: 大鼠肾, 4%多聚甲醛 (货号G1101) 固定12-24小时. 抗原修复: Tris-EDTA抗原修复液(pH 9.0) (G1203), 98℃, 20分钟. —抗: 1: 3600稀释, 4℃ 孵育过夜. 二抗: HRP标记山羊抗兔IgG (H+L) (货号GB23303), 1: 200稀释, 室温孵育1小时. |
储存
| 储存条件 | 在-20℃下储存一年, 避免反复冻融. |
| 储存缓冲液 | 含0.15% ProClin300防腐剂, 100 μg/mL牛血清白蛋白和50%甘油的磷酸盐缓冲液. |
注意:
1.本产品仅供研究使用.
2.建议用一抗稀释液(G2025)稀释本产品.
| 货号 | 名称 | 规格 | 价格 | 操作 |
|---|
| 货号 | 名称 | 规格 | 价格 | 操作 |
|---|

