
Anti-ETFA Rabbit pAb
- 50 μL
产品信息
|
蛋白质全称 |
电子转移黄素蛋白α亚基(线粒体) |
|
别名 |
Alpha-ETF, EMA, ETFA, GA2, MADD |
|
Uniprot ID |
Q99LC5 |
|
免疫原 |
KLH偶联的小鼠ETFA合成肽 |
|
抗体亚型 |
IgG |
|
预测分子量./观测分子量. |
35 kDa / 35 kDa |
|
纯化方式 |
亲和纯化 |
|
亚细胞定位 |
线粒体 |
应用
| 应用 | 物种 | 稀释 | 阳性样品 |
| WB 免疫印迹 | 人, 小鼠, 大鼠 | 1: 1000-1: 2000 | 肝, 肾, 小肠 |
| IHC/IF 免疫组织化学/免疫荧光 | 人 | 1: 800-1: 3000 | 肾, 结肠 |
背景
Electron transfer flavoprotein (ETF) exists in the mitochondrial matrix as a heterodimer of 30 kD alpha subunits (ETFA) and 28 kD beta subunits (ETFB) and contains 1 flavin adenine dinucleotide (FAD) and 1 adenosine 5-prime monophosphate (AMP) per heterodimer. ETFA serves as a specific electron acceptor for several dehydrogenases, including five acyl-CoA dehydrogenases, glutaryl-CoA and sarcosine dehydrogenase.
图像
|
|
WB检测ETFA蛋白(货号 GB113834). 样品: 经RIPA裂解液(货号G2002)处理的蛋白质. 封闭: 3%脱脂牛奶(货号GC310001)溶于TBST溶液, 室温孵育1小时. —抗: 1: 2000稀释, 4℃ 孵育过夜. 二抗: HRP标记山羊抗兔IgG (H+L) (货号GB23303), 1: 5000稀释, 室温孵育1小时. |
|
|
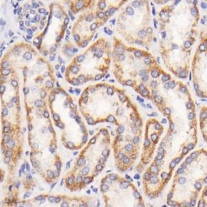
IHC检测ETFA蛋白(货号 GB113834). 样品: 人肾, 4%多聚甲醛 (货号G1101) 固定12-24小时. 抗原修复: 柠檬酸抗原修复液(干粉, pH 6.0) (G1201), 98℃, 20分钟. —抗: 1: 1500稀释, 4℃ 孵育过夜. 二抗: HRP标记山羊抗兔IgG (H+L) (货号GB23303), 1: 200稀释, 室温孵育1小时. |
|
|
IF检测ETFA蛋白(货号 GB113834)(红色). 样品: 人结肠, 4%多聚甲醛 (货号G1101) 固定12-24小时. 抗原修复: Tris-EDTA抗原修复液(pH 9.0) (G1203), 98℃, 20分钟. 封闭: 3% BSA(货号GC305010)的PBS溶液, 室温孵育30分钟. —抗: 1: 800稀释, 4℃ 孵育过夜. 二抗: Cy3标记山羊抗兔IgG (H+L) (货号GB21303), 1: 300稀释, 室温孵育1小时. |
|
|
IF检测ETFA蛋白(货号 GB113834)(红色). 样品: 人肾, 4%多聚甲醛 (货号G1101) 固定12-24小时. 抗原修复: Tris-EDTA抗原修复液(pH 9.0) (G1203), 98℃, 20分钟. 封闭: 3% BSA(货号GC305010)的PBS溶液, 室温孵育30分钟. —抗: 1: 800稀释, 4℃ 孵育过夜. 二抗: Cy3标记山羊抗兔IgG (H+L) (货号GB21303), 1: 300稀释, 室温孵育1小时. |
储存
| 储存条件 | 在-20℃下储存一年, 避免反复冻融. |
| 储存缓冲液 | 含0.15% ProClin300防腐剂, 100 μg/mL牛血清白蛋白和50%甘油的磷酸盐缓冲液. |
注意:
1.本产品仅供研究使用.
2.建议用一抗稀释液(G2025)稀释本产品.
| 货号 | 名称 | 规格 | 价格 | 操作 |
|---|
| 货号 | 名称 | 规格 | 价格 | 操作 |
|---|



