
Anti-CYC1 Rabbit pAb
- 50 μL
产品信息
|
蛋白质全称 |
具有双 PH 域的 蛋白ArfGAP 2 |
|
别名 |
Complex III subunit 4, Complex III subunit IV, Cytochrome b-c1 complex subunit 4, Cytochrome c-1, Cyc1, QCR4 |
|
Uniprot ID |
Q9D0M3 |
|
免疫原 |
小鼠CYC1重组蛋白 |
|
抗体亚型 |
IgG |
|
预测分子量./观测分子量. |
35 kDa / 35 kDa |
|
纯化方式 |
亲和纯化 |
|
亚细胞定位 |
线粒体 |
应用
| 应用 | 物种 | 稀释 | 阳性样品 |
| WB 免疫印迹 | 小鼠, 大鼠 | 1: 1000-1: 3000 | 心, 脑, 肌肉 |
| IHC/IF 免疫组织化学/免疫荧光 | 人, 大鼠 | 1: 400-1: 1200 | 肾, 胎盘 |
背景
CYC1, also named as Cytochrome c-1, belongs to the cytochrome c family. Cytochrome c1 is one respiratory subunit of the 11 subunits of the cytochrome bc1 complex of the mitochondrial electron-transfer chain. It mediates the transfer of an electron from Rieske iron-sulfur protein to cytochrome c. CYC1 mediates apoptosis. In this pathway, a variety of apoptotic stimuli cause CYC1 release from mitochondria, which in turn induces a series of biochemical reactions that result incaspase activation and subsequent cell death.
图像
|
|
WB检测CYC1蛋白(货号 GB111784). 样品: 经RIPA裂解液(货号G2002)处理的蛋白质. 封闭: 3%脱脂牛奶(货号GC310001)溶于TBST溶液, 室温孵育1小时. —抗: 1: 1000稀释, 4℃ 孵育过夜. 二抗: HRP标记山羊抗兔IgG (H+L) (货号GB23303), 1: 5000稀释, 室温孵育1小时. |
|
|
IHC检测CYC1蛋白(货号 GB111784). 样品: 人胎盘, 4%多聚甲醛 (货号G1101) 固定12-24小时. 抗原修复: 柠檬酸抗原修复液(干粉, pH 6.0) (G1201), 98℃, 20分钟. —抗: 1: 1200稀释, 4℃ 孵育过夜. 二抗: HRP标记山羊抗兔IgG (H+L) (货号GB23303), 1: 200稀释, 室温孵育1小时. |
|
|
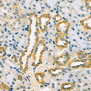
IHC检测CYC1蛋白(货号 GB111784). 样品: 大鼠肾, 4%多聚甲醛 (货号G1101) 固定12-24小时. 抗原修复: 柠檬酸抗原修复液(干粉, pH 6.0) (G1201), 98℃, 20分钟. —抗: 1: 1200稀释, 4℃ 孵育过夜. 二抗: HRP标记山羊抗兔IgG (H+L) (货号GB23303), 1: 200稀释, 室温孵育1小时. |
储存
| 储存条件 | 在-20℃下储存一年, 避免反复冻融. |
| 储存缓冲液 | 含0.15% ProClin300防腐剂, 100 μg/mL牛血清白蛋白和50%甘油的磷酸盐缓冲液. |
注意:
1.本产品仅供研究使用.
2.建议用一抗稀释液(G2025)稀释本产品.
| 货号 | 名称 | 规格 | 价格 | 操作 |
|---|
| 货号 | 名称 | 规格 | 价格 | 操作 |
|---|


