
Anti-Adenylate cyclase 1/AC1 Rabbit pAb
- 100 μL
产品信息
|
蛋白质全称 |
腺苷酸环化酶1型 |
|
别名 |
ATP pyrophosphate-lyase 1, Adenylate cyclase type I, Adenylyl cyclase 1, Ca(2+)/calmodulin-activated adenylyl cyclase, Adcy1, AC1, DFNB44, Brain adenylate cyclase 1 |
|
Uniprot ID |
O88444 |
|
免疫原 |
小鼠Adenylate cyclase 1/AC1重组蛋白 |
|
抗体亚型 |
IgG |
|
纯化方式 |
亲和纯化 |
|
亚细胞定位 |
细胞膜, 细胞质 |
应用
| 应用 | 物种 | 稀释 | 阳性样品 |
| IHC/IF 免疫组织化学/免疫荧光 | 小鼠, 大鼠 | 1: 650-1: 1300 | 脑 |
背景
ADCY1 belongs to the adenylyl cyclase class-4/guanylyl cyclase family. It is a calmodulin-sensitive adenylyl cyclase. ADCY1 may be involved in regulatory processes in the central nervous system. It may play a role in memory acquisition and learning. The antibody is specific to ADCY1.
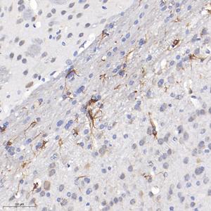
图像
|
|
IHC检测Adenylate cyclase 1/AC1蛋白(货号 GB111779). 样品: 小鼠脑, 4%多聚甲醛 (货号G1101) 固定12-24小时. 抗原修复: 柠檬酸抗原修复液(干粉, pH 6.0) (G1201), 98℃, 20分钟. —抗: 1: 650稀释, 4℃ 孵育过夜. 二抗: HRP标记山羊抗兔IgG (H+L) (货号GB23303), 1: 200稀释, 室温孵育1小时. |
|
|
IHC检测Adenylate cyclase 1/AC1蛋白(货号 GB111779). 样品: 大鼠脑, 4%多聚甲醛 (货号G1101) 固定12-24小时. 抗原修复: 柠檬酸抗原修复液(干粉, pH 6.0) (G1201), 98℃, 20分钟. —抗: 1: 650稀释, 4℃ 孵育过夜. 二抗: HRP标记山羊抗兔IgG (H+L) (货号GB23303), 1: 200稀释, 室温孵育1小时. |
储存
| 储存条件 | 在-20℃下储存一年, 避免反复冻融. |
| 储存缓冲液 | 含0.15% ProClin300防腐剂, 100 μg/mL牛血清白蛋白和50%甘油的磷酸盐缓冲液. |
注意:
1.本产品仅供研究使用.
2.建议用一抗稀释液(G2025)稀释本产品.
| 货号 | 名称 | 规格 | 价格 | 操作 |
|---|
| 货号 | 名称 | 规格 | 价格 | 操作 |
|---|

