全国400热线:400-8252586

Product Image

Anti-ATP6V1A Rabbit pAb

¥1650
货号:YB114000-100
品牌:YIKE
规格:
  • 100 μL
数量:

产品信息


蛋白质全称

V型质子ATP酶A催化亚基

别名

ATP6A1, ATP6V1A, ATP6V1A1, HO68, V ATPase 69 kDa subunit, V ATPase subunit A, VA68, Vacuolar ATPase isoform VA68, Vma1, VPP2

Uniprot ID

P50516

免疫原

小鼠ATP6V1A重组蛋白

抗体亚型

IgG

预测分子量./观测分子量.

68 kDa / 68 kDa

纯化方式

亲和纯化

亚细胞定位

细胞质




应用


应用 物种 稀释 阳性样品
WB 免疫印迹 人, 小鼠, 大鼠 1: 3000-1: 6000 脑, 肾, 前列腺癌
IHC/IF 免疫组织化学/免疫荧光 人, 小鼠, 大鼠 1: 800-1: 1600




背景

The vacuolar-type H(+)-ATPase (V-ATPase) is responsible for the acidification of endosomes, lysosomes, and other intracellular organelles. It is also involved in hydrogen ion transport across the plasma membrane into the extracellular space. The V-ATPase is a multisubunit complex with cytosolic and transmembrane domains. The cytosolic catalytic domain consists of 3 A subunits and 3 B subunits, which bind and hydrolyze ATP, as well as regulatory accessory subunits.ATP6V1A is V-type proton ATPase catalytic subunit A.




图像

WB检测ATP6V1A蛋白(货号 GB113989).
样品: 经RIPA裂解液(货号G2002)处理的蛋白质.
封闭: 3%脱脂牛奶(货号GC310001)溶于TBST溶液, 室温孵育1小时.
—抗: 1: 3000稀释, 4℃ 孵育过夜.
二抗: HRP标记山羊抗兔IgG (H+L) (货号GB23303), 1: 5000稀释, 室温孵育1小时.

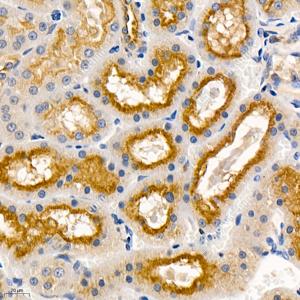
IHC检测ATP6V1A蛋白(货号 GB113989).
样品: 人肾, 4%多聚甲醛 (货号G1101) 固定12-24小时.
抗原修复: 柠檬酸抗原修复液(干粉, pH 6.0) (G1201), 98℃, 20分钟.
—抗: 1: 800稀释, 4℃ 孵育过夜.
二抗: HRP标记山羊抗兔IgG (H+L) (货号GB23303), 1: 200稀释, 室温孵育1小时.

IHC检测ATP6V1A蛋白(货号 GB113989).
样品: 小鼠肾, 4%多聚甲醛 (货号G1101) 固定12-24小时.
抗原修复: 柠檬酸抗原修复液(干粉, pH 6.0) (G1201), 98℃, 20分钟.
—抗: 1: 800稀释, 4℃ 孵育过夜.
二抗: HRP标记山羊抗兔IgG (H+L) (货号GB23303), 1: 200稀释, 室温孵育1小时.

IHC检测ATP6V1A蛋白(货号 GB113989).
样品: 大鼠肾, 4%多聚甲醛 (货号G1101) 固定12-24小时.
抗原修复: 柠檬酸抗原修复液(干粉, pH 6.0) (G1201), 98℃, 20分钟.
—抗: 1: 800稀释, 4℃ 孵育过夜.
二抗: HRP标记山羊抗兔IgG (H+L) (货号GB23303), 1: 200稀释, 室温孵育1小时.

IF检测ATP6V1A蛋白(货号 GB113989)(红色).
样品: 小鼠肾, 4%多聚甲醛 (货号G1101) 固定12-24小时.
抗原修复: Tris-EDTA抗原修复液(pH 9.0) (G1203), 98℃, 20分钟.
封闭: 3% BSA(货号GC305010)的PBS溶液, 室温孵育30分钟.
—抗: 1: 1400稀释, 4℃ 孵育过夜.
二抗: Cy3标记山羊抗兔IgG (H+L) (货号GB21303), 1: 300稀释, 室温孵育1小时.

IF检测ATP6V1A蛋白(货号 GB113989)(红色).
样品: 大鼠肾, 4%多聚甲醛 (货号G1101) 固定12-24小时.
抗原修复: Tris-EDTA抗原修复液(pH 9.0) (G1203), 98℃, 20分钟.
封闭: 3% BSA(货号GC305010)的PBS溶液, 室温孵育30分钟.
—抗: 1: 1400稀释, 4℃ 孵育过夜.
二抗: Cy3标记山羊抗兔IgG (H+L) (货号GB21303), 1: 300稀释, 室温孵育1小时.




储存


储存条件 在-20℃下储存一年, 避免反复冻融.
储存缓冲液 含0.15% ProClin300防腐剂, 100 μg/mL牛血清白蛋白和50%甘油的磷酸盐缓冲液.


注意:

1.本产品仅供研究使用.

2.建议用一抗稀释液(G2025)稀释本产品.


相关产品

注意事项

  • 请在保质期内使用本产品
  • 请存放于阴凉干燥处,避免阳光直射
  • 使用前请仔细阅读产品说明书
  • 如有不适,请立即停止使用并咨询专业人士
服务推荐
货号名称规格价格操作
产品推荐
货号名称规格价格操作
广州一科生物科技有限公司
广州一科生物科技有限公司
电话:400-8252586
邮箱:weikexie@163.com
地址:广州市白云区白灰场南路润祥大厦B栋707
粤ICP备19145173号-1版权所有 All rights reserved 广州市一科生物科技有限公司
本公司产品仅供体外研究使用,不用于临床诊断!
  • 我的收藏
  • 咨询客服

    请填写您的信息,我们会尽快安排对应人员与您联系!

    单位名称:
    您的姓名:
    联系电话:
    咨询内容:
  • 联系电话

    客服电话:

    400-8252586

  • 返回顶部