
Anti-MCTS1/MCT-1 Rabbit pAb
- 50 μL
产品信息
|
蛋白质全称 |
恶性T细胞扩增序列1蛋白 |
|
别名 |
MCT-1, MCT1, MCTS1 |
|
Uniprot ID |
Q9DB27 |
|
免疫原 |
KLH偶联的小鼠MCTS1/MCT-1合成肽 |
|
抗体亚型 |
IgG |
|
纯化方式 |
亲和纯化 |
|
亚细胞定位 |
细胞质 |
应用
| 应用 | 物种 | 稀释 | 阳性样品 |
| IHC/IF 免疫组织化学/免疫荧光 | 人 | 1: 500-1: 1000 | 乳腺癌, T细胞淋巴瘤 |
背景
Anti-oncogene that plays a role in cell cycle regulation; decreases cell doubling time and anchorage-dependent growth; shortens the duration of G1 transit time and G1/S transition. When constitutively expressed, increases CDK4 and CDK6 kinases activity and CCND1/cyclin D1 protein level, as well as G1 cyclin/CDK complex formation. Involved in translation initiation; promotes recruitment of aminoacetyled initiator tRNA to P site of 40S ribosomes. Can promote release of deacylated tRNA and mRNA from recycled 40S subunits following ABCE1-mediated dissociation of post-termination ribosomal complexes into subunits.
图像
|
|
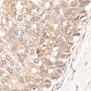
IHC检测MCTS1/MCT-1蛋白(货号 GB114599). 样品: 人乳腺癌, 4%多聚甲醛 (货号G1101) 固定12-24小时. 抗原修复: 柠檬酸抗原修复液(干粉, pH 6.0) (G1201), 98℃, 20分钟. —抗: 1: 500稀释, 4℃ 孵育过夜. 二抗: HRP标记山羊抗兔IgG (H+L) (货号GB23303), 1: 200稀释, 室温孵育1小时. |
|
|
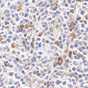
IHC检测MCTS1/MCT-1蛋白(货号 GB114599). 样品: 人T细胞淋巴瘤, 4%多聚甲醛 (货号G1101) 固定12-24小时. 抗原修复: 柠檬酸抗原修复液(干粉, pH 6.0) (G1201), 98℃, 20分钟. —抗: 1: 500稀释, 4℃ 孵育过夜. 二抗: HRP标记山羊抗兔IgG (H+L) (货号GB23303), 1: 200稀释, 室温孵育1小时. |
|
|
IF检测MCTS1/MCT-1蛋白(货号 GB114599)(红色). 样品: 人T细胞淋巴瘤, 4%多聚甲醛 (货号G1101) 固定12-24小时. 抗原修复: Tris-EDTA抗原修复液(pH 9.0) (G1203), 98℃, 20分钟. 封闭: 3% BSA(货号GC305010)的PBS溶液, 室温孵育30分钟. —抗: 1: 500稀释, 4℃ 孵育过夜. 二抗: Cy3标记山羊抗兔IgG (H+L) (货号GB21303), 1: 300稀释, 室温孵育1小时. |
储存
| 储存条件 | 在-20℃下储存一年, 避免反复冻融. |
| 储存缓冲液 | 含0.15% ProClin300防腐剂, 100 μg/mL牛血清白蛋白和50%甘油的磷酸盐缓冲液. |
注意:
1.本产品仅供研究使用.
2.建议用一抗稀释液(G2025)稀释本产品.
| 货号 | 名称 | 规格 | 价格 | 操作 |
|---|
| 货号 | 名称 | 规格 | 价格 | 操作 |
|---|


