全国400热线:400-8252586

Product Image

Anti-IDH2 Rabbit pAb

¥950
货号:YB113738-50
品牌:YIKE
规格:
  • 50 μL
数量:

产品信息


蛋白质全称

线粒体NADP依赖异柠檬酸脱氢酶

别名

ICD M, IDH, IDH2, IDHM, IDP, IDPM, mNADP IDH, NADP(+) specific ICDH, Oxalosuccinate decarboxylase

Uniprot ID

P54071

免疫原

KLH偶联的小鼠IDH2合成肽

抗体亚型

IgG

预测分子量./观测分子量.

51 kDa / 45 kDa

纯化方式

亲和纯化

亚细胞定位

线粒体




应用


应用 物种 稀释 阳性样品
WB 免疫印迹 人, 小鼠, 大鼠 1: 1000-1: 2000 脑, 胎盘, 肾
IHC/IF 免疫组织化学/免疫荧光 人, 小鼠, 大鼠 1: 500-1: 1000 扁桃体, 肾, 心




背景

IDH2, also named as IDP and ICD-M, belongs to the isocitrate and isopropylmalate dehydrogenases family. It plays a role in intermediary metabolism and energy production. IDH2 is a mitochondrial NADP-dependent isocitrate dehydrogenase that catalyzes oxidative decarboxylation of isocitrate to alpha-ketoglutarate, producing NADPH. It may tightly associate or interact with the pyruvate dehydrogenase complex. IDH1 and IDH2 mutations could also contribute to tumorigenesis and cancer progression through increased mutagenesis.




图像

WB检测IDH2蛋白(货号 GB113727).
样品: 经RIPA裂解液(货号G2002)处理的蛋白质.
封闭: 3%脱脂牛奶(货号GC310001)溶于TBST溶液, 室温孵育1小时.
—抗: 1: 2000稀释, 4℃ 孵育过夜.
二抗: HRP标记山羊抗兔IgG (H+L) (货号GB23303), 1: 5000稀释, 室温孵育1小时.

WB检测IDH2蛋白(货号 GB113727).
样品: 经RIPA裂解液(货号G2002)处理的蛋白质.
封闭: 3%脱脂牛奶(货号GC310001)溶于TBST溶液, 室温孵育1小时.
—抗: 1: 2000稀释, 4℃ 孵育过夜.
二抗: HRP标记山羊抗兔IgG (H+L) (货号GB23303), 1: 5000稀释, 室温孵育1小时.

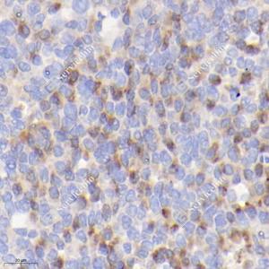
IHC检测IDH2蛋白(货号 GB113727).
样品: 人扁桃体, 4%多聚甲醛 (货号G1101) 固定12-24小时.
抗原修复: 柠檬酸抗原修复液(干粉, pH 6.0) (G1201), 98℃, 20分钟.
—抗: 1: 1000稀释, 4℃ 孵育过夜.
二抗: HRP标记山羊抗兔IgG (H+L) (货号GB23303), 1: 200稀释, 室温孵育1小时.

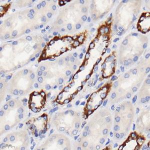
IHC检测IDH2蛋白(货号 GB113727).
样品: 人肾, 4%多聚甲醛 (货号G1101) 固定12-24小时.
抗原修复: 柠檬酸抗原修复液(干粉, pH 6.0) (G1201), 98℃, 20分钟.
—抗: 1: 1000稀释, 4℃ 孵育过夜.
二抗: HRP标记山羊抗兔IgG (H+L) (货号GB23303), 1: 200稀释, 室温孵育1小时.

IHC检测IDH2蛋白(货号 GB113727).
样品: 小鼠肾, 4%多聚甲醛 (货号G1101) 固定12-24小时.
抗原修复: 柠檬酸抗原修复液(干粉, pH 6.0) (G1201), 98℃, 20分钟.
—抗: 1: 1000稀释, 4℃ 孵育过夜.
二抗: HRP标记山羊抗兔IgG (H+L) (货号GB23303), 1: 200稀释, 室温孵育1小时.

IHC检测IDH2蛋白(货号 GB113727).
样品: 大鼠肾, 4%多聚甲醛 (货号G1101) 固定12-24小时.
抗原修复: 柠檬酸抗原修复液(干粉, pH 6.0) (G1201), 98℃, 20分钟.
—抗: 1: 1000稀释, 4℃ 孵育过夜.
二抗: HRP标记山羊抗兔IgG (H+L) (货号GB23303), 1: 200稀释, 室温孵育1小时.




储存


储存条件 在-20℃下储存一年, 避免反复冻融.
储存缓冲液 含0.15% ProClin300防腐剂, 100 μg/mL牛血清白蛋白和50%甘油的磷酸盐缓冲液.


注意:

1.本产品仅供研究使用.

2.建议用一抗稀释液(G2025)稀释本产品.


相关产品

注意事项

  • 请在保质期内使用本产品
  • 请存放于阴凉干燥处,避免阳光直射
  • 使用前请仔细阅读产品说明书
  • 如有不适,请立即停止使用并咨询专业人士
服务推荐
货号名称规格价格操作
产品推荐
货号名称规格价格操作
广州一科生物科技有限公司
广州一科生物科技有限公司
电话:400-8252586
邮箱:weikexie@163.com
地址:广州市白云区白灰场南路润祥大厦B栋707
粤ICP备19145173号-1版权所有 All rights reserved 广州市一科生物科技有限公司
本公司产品仅供体外研究使用,不用于临床诊断!
  • 我的收藏
  • 咨询客服

    请填写您的信息,我们会尽快安排对应人员与您联系!

    单位名称:
    您的姓名:
    联系电话:
    咨询内容:
  • 联系电话

    客服电话:

    400-8252586

  • 返回顶部